Gülüş Dizaynı: Prosesi, Elementləri və Estetik Stomatolojiyanın Üstünlükləri
Gülüş dizaynı, xüsusi estetik stomatoloji prosedurlar vasitəsilə bir şəxsin gülüşünü fərdiləşdirərək gözəlləşdirməyə yönəlmiş bir sahədir. Bu, xəstənin üz quruluşu, dəri rəngi, dişlərin rəngi, boyu və forması, həmçinin diş əti konturları kimi bir çox amili nəzərə alaraq həyata keçirilir. Gülüş dizaynı, hər kəsin fərdi ehtiyaclarını və estetik arzularını ödəmək üçün xüsusi olaraq tərtib edilmiş bir prosedurdur.

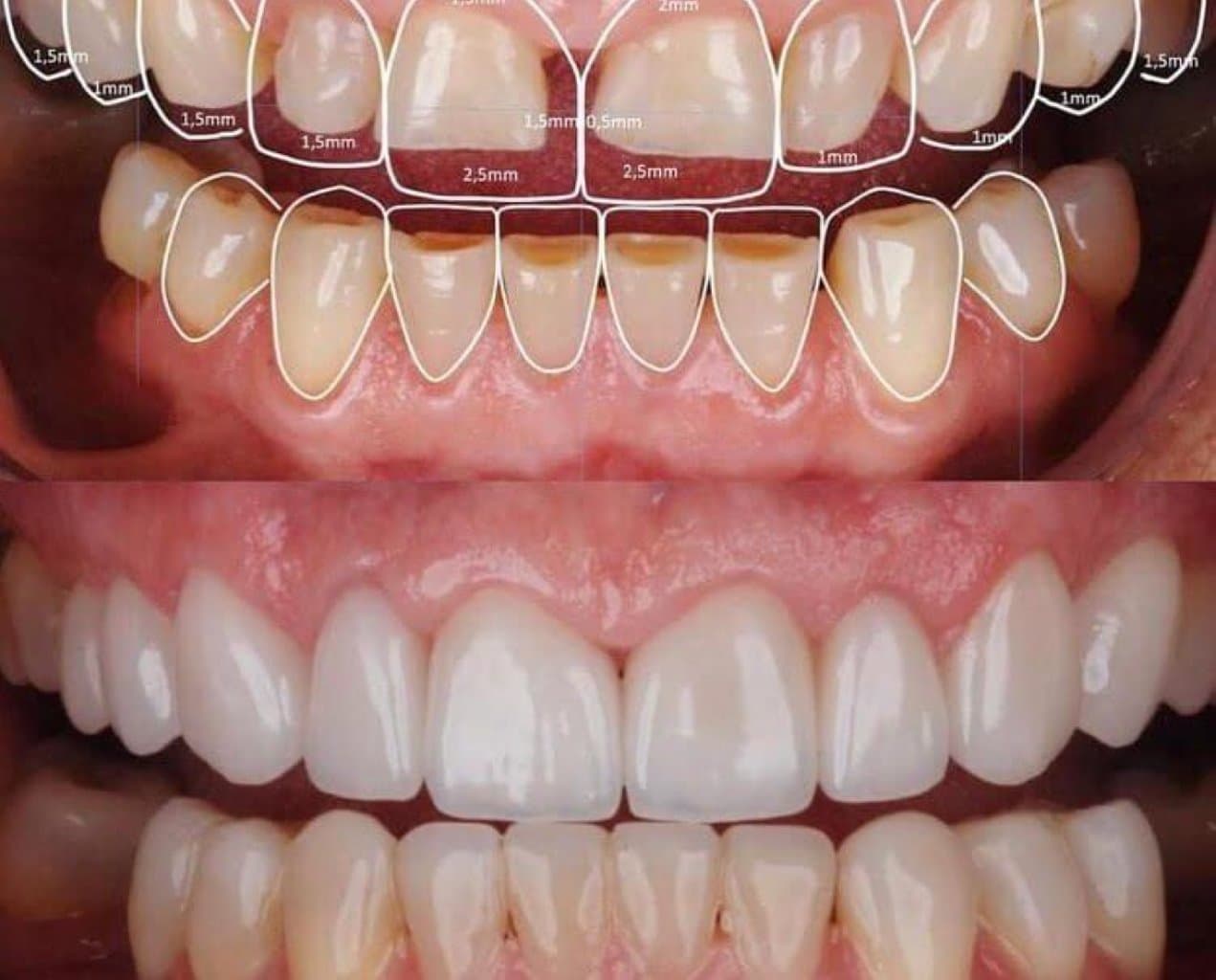
Gülüş Dizaynının Elementləri
- Diş Rəngi: Ağardılma prosedurları ilə daha ağ və parlaq bir gülüş əldə edilə bilər. Diş rəngi, üzün dəri rəngi ilə uyğunlaşdırılmalıdır.
- Dişlərin Yerləşməsi: Çarpık, əyrilmiş və ya aralıqlı dişlər, ortodontik müalicə və ya veneerlər vasitəsilə düzəldilə bilər.
- Dişlərin Şəkli və Ölçüsü: Dişlərin forması və ölçüsü, xəstənin üz quruluşuna uyğun olaraq tənzimlənə bilər. Bu, laminatlar və taclar ilə həyata keçirilə bilər.
- Diş Əti Estetikası: Diş ətlərinin sağlamlığı və konturları da gözəl bir gülüşün vacib hissəsidir. Gülüş dizaynında diş əti çəkilməsi və ya rekonturlama prosedurları da nəzərdən keçirilə bilər.
- Ümumi Simmetriya və Balans: Gülüşün ümumi simmetriyası və balansı, estetik cəhətdən xoş və cazibədar bir görünüş yaratmaq üçün vacibdir.
Gülüş Dizaynının Prosesi
- İlkin Konsultasiya: Stomatoloq xəstənin ağız və üz quruluşunu qiymətləndirir, estetik arzularını və ehtiyaclarını müzakirə edir.
- Fərdi Planın Hazırlanması: Xəstənin fərdi özəlliklərinə və istəklərinə uyğun olaraq, müalicə planı hazırlanır.
- Müalicənin Həyata Keçirilməsi: Planlaşdırılmış estetik stomatoloji müalicələr mərhələli şəkildə həyata keçirilir.
- Son Nəticənin Qiymətləndirilməsi: Müalicənin sonunda, xəstənin yeni gülüşü qiymətləndirilir və lazım gəldikdə tənzimləmələr edilir.
Gülüş dizaynı, şəxsin ümumi görünüşünü və özünə güvənini xeyli yaxşılaşdıra bilən bir prosedurdur. Ancaq, hər hansı bir estetik stomatoloji müdaxiləyə başlamazdan əvvəl peşəkar bir stomatoloq ilə məsləhətləşmək çox vacibdir. Bu, ən yaxşı nəticələrin əldə edilməsini və sağlamlıq risklərinin minimuma endirilməsini təmin edəcəkdir.