Perthes xəstəliyi haqqında
Dos. Dr. Ozan Ali Erdal
9 noyabr 2023734 baxış
Gəzməkdə və axsamaqda çətinlik çəkən uşaqlarda özünü büruzə verir. Oğlanlarda qızlara nisbətən 5 dəfə çox rast gəlinən Perthes xəstəliyinin müalicəsində erkən diaqnozun böyük əhəmiyyəti var.

Perthes Xəstəliyində Risk Faktorları
Perthes xəstəliyi bud sümüyünün yuxarı hissəsində bud sümüyü adlanan dəyirmi baş nahiyəsində qan dövranının pozulması nəticəsində yaranır. 4-8 yaş arasında baş verən bu xəstəlik hər 10.000 uşaqdan birində görülür. Perthes adətən bir oynaq təsir göstərir. Bəzən hər iki ombada da müşahidə olunur. Bu vəziyyətdə digər xəstəliklərlə qarışdırıla biləcəyi üçün diaqnoz nöqtəsində diqqətli olmaq lazımdır. Xəstəliyin səbəbi məlum deyil. Bununla belə, tədqiqatlar göstərdi ki, aşağıdakı meyllər Perthes inkişaf riski yaradır, baxmayaraq ki, dəqiq səbəb məlum deyil:
Diqqət çatışmazlığı və hiperaktivlik problemi
Sosial-iqtisadi səviyyəsi aşağı olan ölkələr
Ailə tarixində Perthesin olması
Avropa və Asiya cinsləri
Aşağı doğum çəkisi ilə doğulmaq
Siqaretin mövcud olduğu mühitlərdə olmaq (passiv siqaret)
Perthes xəstəliyinin simptomları
Perthes; Bud və bud nahiyəsində ağrılar, ayaqda axsaqlıq, axsaqlıq kimi əlamətlərlə özünü göstərir. Bu simptomlar bəzən çox yüngül, bəzən isə çox şiddətli ola bilər. Çox nadir hallarda ayaqların qısalması da baş verə bilər. Bu səbəbdən uşağın tez-tez ağrıdan şikayət etdiyi və yeriməkdə çətinlik çəkdiyi hallarda gecikmədən uşaq ortopedinə müraciət etmək faydalı olar.
Perthes Xəstəliyində Diaqnostik Metodlar
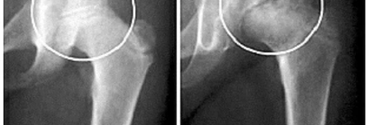
Xəstəlik halında fiziki müayinə ilə birlikdə rentgen filmi çəkilir. Ümumiyyətlə, rentgen müayinəsi ilə xəstəliyi müəyyən etmək mümkündür. Çox erkən mərhələlərdə problem rentgendə görünməyə bilər. Bu zaman uşağın ağrıları keçmirsə, təkrar müayinə üçün rentgen çəkilməlidir. Uşaq ortopedi tərəfindən MRT və ya sintiqrafiyanın tövsiyə edildiyi hallar olsa da, adətən yalnız rentgen filmi kifayətdir.
Perthes xəstəliyinin müalicəsi
Perthes xəstəliyinin müalicəsi xəstənin yaşından və xəstəliyin dərəcəsindən asılı olaraq dəyişir. Xəstəlik ilkin mərhələdə aşkar edildikdə, uşağın sümük yaşı 6 yaşdan azdırsa və oynaqların hərəkətləri açıqdırsa, xəstə uşaq ortopedi tərəfindən izlənilməlidir. Müalicə zamanı uşağın fəaliyyəti məhdudlaşdırılır. Üzərində gəzməyə icazə verilsə də, idman fəaliyyəti ilə məşğul olmaq qadağandır. Uşağın ağrıları artarsa, istirahət məsləhət görülür və bu prosesin sonunda ağrı yox olur.
Perthes xəstəliyinin müalicəsində əsas məqsəd birgə hərəkət genişliyini qorumaqdır. Bu sayədə bud sümüyünün (bud) başı sferik bir quruluşda inkişaf edə bilir. Perthes xəstəliyinin müalicəsi uşağın sümük inkişafı tamamlanana qədər davam edir. Sağalma əldə edildikdən sonra erkən yetkinlik dövründə heç bir problem yaranmır. Bununla belə, 50-60-cı illərdə omba nahiyəsində artrit yarana bilər.
Perthes 4 mərhələdə görünür. Xəstələr adətən ikinci mərhələdə ilk simptomları yaşayır və həkimə müraciət edirlər. Üçüncü mərhələdən dördüncü mərhələyə keçdiyimiz zaman sümük ölümü bud sümüyünün sümüyünün bir hissəsində və ya hamısında baş verir. Bədən ölü toxumaları əvəz etmək üçün yeni sümük yaradır. Yenidənqurma mərhələsində müalicənin məqsədi; bud sümüyü başını bud oynağının yuva hissəsinin içərisində saxlamaqdır. Bu məqsədlə zərurət yarandıqda bəzi cərrahi əməliyyatlar uşaq ortopedləri tərəfindən aparılır. Bəzi hallarda gec diaqnoz qoyulan və irəliləmiş mərhələdə müşahidə olunaraq, müşahidə və fizioterapiya protokolu ilə müalicəyə üstünlük verilə bilər və uşaq böyüdükcə cərrahi müalicələr hazırlanır.







