Xroniki Miyeloid Leykemiya (XML)
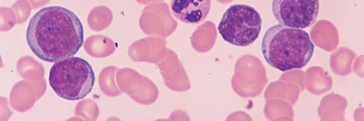
Xroniki Miyeloid Leykemiya (XML), kan hüceyrələrinin abnormallaşdığı bir tibbi vəziyyətdir. Bu xəstəlikdə, genetik dəyişikliklər nəticəsində miyeloid hüceyrələr (qanın beyaz hüceyrələrinin bir növü) anormal şəkildə çoxalır və olgunlaşmağa davam etmədiyində, vərəmli (qanın olgunlaşmamış) hüceyrələr ürədir. Bu anormal hüceyrələr, qanı saxlayan və oksigen daşıyan kırovkanın kənətrini tutur və normal qan hüceyrələri üçün yer qalmır.

Xroniki Miyeloid Leykemiya ilə əlaqədar başlıca faktlar:
- Simptomlar: KML-nin simptomları ağırlıq itirir, anemiya (qanın azlığı), yaraqların çox tez qoxuması, qarın şişməsi, yorgunluq və yuxusuzluq tərəfindən müşahidə edilir.
- Diaqnoz: KML diaqnozu üçün kan testləri, kemik iliği biopsiyası və genetik testlər tətbiq edilir.
- Tedavi: KML-nin müalicəsi kompleksdir və həkim tərəfindən müəyyən edilir. İlaclar, kemik iliği transplantasiyası, və ya şübhəli hüceyrələrin çıxarılması kimi müxtəlif yanaşmalar istifadə oluna bilər.
- Proqnoz: KML-nin proqnozu, xəstəliyin mərhələsinə və müalicəyə cavabına görə dəyişir. Yaxşı tədqiqatlar və müalicələrlə çox sayda xəstə KML-ni idarə edir və uzun müddət yaşayır.
Xroniki Miyeloid Leykemiya, həkim müayinəsi və uyğun müalicə ilə idarə edilə bilən bir xəstəlikdir. KML-dən şübhə edilsə, bir sağlamlıq tibb bacarığına müraciət edilməli və müvafiq diaqnoz və müalicə planı müəyyənləşdirilməlidir.