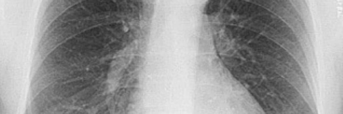
Birincil və ikincil pnevmotoraks - qazların, plevrə havanın yığılması.

Məzmun süni intellekt ilə optimallaşdırılmışdır
Pnevmotoraks, ağciyər sağlamlığına ciddi təsir göstərən və təcili tibbi yanaşma tələb edə bilən bir vəziyyətdir. Tibbi praktikada bu vəziyyət əsasən iki qrupa bölünür: birincil və ikincil pnevmotoraks. Hər iki növün yaranma mexanizmi və risk faktorları bir-birindən fərqlənir.
Pnevmotoraksın Növləri və Yaranma Səbəbləri
Pnevmotoraksın təsnifatı, xəstənin ağciyər keçmişinə və fiziki xüsusiyyətlərinə əsasən müəyyən edilir. Bu növlər aşağıdakı kimi xarakterizə olunur:
1. Birincil Pnevmotoraks
Bu növ, əsasən hər hansı bir ağciyər xəstəliyi olmayan sağlam şəxslərdə inkişaf edir. Birincil pnevmotoraks, adətən ağciyərlərin səthində yerləşən və bleb adlanan kiçik hava kisələrinin partlaması nəticəsində meydana gəlir. Statistik olaraq, bu vəziyyətə daha çox uzunboylu və arıq kişilərdə rast gəlinir və çox vaxt yaranma səbəbi tam olaraq açıqlana bilmir.
2. İkincil Pnevmotoraks
İkincil pnevmotoraks, əvvəlcədən mövcud olan ağciyər xəstəlikləri və ya patoloji vəziyyətləri olan insanlarda müşahidə edilir. Aşağıdakı xəstəliklər ikincil pnevmotoraks riskini əhəmiyyətli dərəcədə artırır:
- Xronik obstruktiv ağciyər xəstəliyi (XOAX)
- Astma
- Ağciyər xərçəngi
- Kistik fibroz
Pnevmotoraksın Əsas Simptomları
Hər iki pnevmotoraks növündə xəstələrin qarşılaşdığı klinik əlamətlər oxşarlıq təşkil edir. Ən çox rast gəlinən simptomlar aşağıdakılardır:
- Göğüs ağrısı: Xüsusilə dərin nəfəs aldıqda, öskürək zamanı və ya fiziki fəaliyyət əsnasında kəskinləşir.
- Nəfəs darlığı: Tənəffüsün çətinləşməsi ilə müşayiət olunur.
- Sürətli və səthi nəfəs alma: Orqanizmin oksigen ehtiyacını qarşılamaq üçün verdiyi reaksiyadır.
- Göğüs qəfəsində gərginlik hissi: Döş qəfəsi nahiyəsində sıxılma və təzyiq hissi.
Müalicə Metodları və Yanaşmalar
Pnevmotoraksın müalicəsi, vəziyyətin şiddətinə və xəstənin ümumi sağlamlıq statusuna bağlı olaraq fərdi şəkildə planlaşdırılır. Müalicə prosesində tətbiq olunan əsas üsullar aşağıdakı cədvəldə ümumiləşdirilmişdir:
| Vəziyyətin Şiddəti | Tətbiq Olunan Müalicə Metodu |
|---|---|
| Kiçik Pnevmotorakslar | Bəzən müdaxiləsiz, öz-özünə sağalma müşahidə oluna bilər. |
| Ciddi Hallar | Havanın kənarlaşdırılması üçün göğüs borusu yerləşdirilməsi və ya hava aspirasiyası. |
| Təkrarlanma Riski | Ağciyərin yenidən çökməsinin qarşısını almaq üçün cərrahi müdaxilə. |
Pnevmotoraksın idarə edilməsində əsas məqsəd ağciyərin yenidən genişlənməsini təmin etmək və fəsadların qarşısını almaqdır.