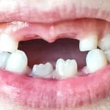
Diş əti resesiyası nədir və necə müalicə olunur?

Diş əti çəkilməsi nədir?
Diş ətinin çəkilməsi dişin kökünü ortaya çıxarmaq üçün diş ətini geriyə çəkərək lazım olandan daha çox məruz qaldığı vəziyyətə verilən addır. Bu durğunluq diş və diş əti toxuması arasında boşluqlar yaradır, bakteriyalar üçün ideal mühit hazırlayır və dişlərin itirilməsinə qədər ciddi nəticələrini ortaya qoyur.
Diş əti çəkilməsi ilə bağlı stomatoloqumuza müraciət etmək üçün dərhal bizimlə əlaqə saxlaya bilərsiniz.
Diş ətinin resessiyasının səbəbləri, səbəbləri nələrdir?
Diş ətinin çökməsi bir çox səbəbə görə baş verə bilər. Onları aşağıdakı kimi ümumiləşdirə bilərik;
Diş ətinin iltihabı və ağız sağlamlığına lazımi əhəmiyyət verilməməsi,
Sərt tüklü diş fırçalarını dişlərə və diş ətlərinə zərər verəcək şəkildə basaraq istifadə etmək,
Əyri dişlərə sahib olmaq və qeyri-kafi diş baxımı,
genetik faktorlar,
Sıx hesablama əmələ gəlməsi,
Yaşla əlaqəli amillər (60 yaşdan yuxarı diş ətinin resessiya ehtimalı çox yüksəkdir),
Güclü lövhə əmələ gəlməsi
Siqaret və tütün məmulatlarının istifadəsidir.
Diş əti resessiyasının əlamətləri hansılardır?
Diş ətinin çəkilməsi yavaş irəlilədiyi üçün ilk başlarda fərq edilməsə də, dişlərdə həssaslıq və fərqli əlamətlərlə özünü göstərməyə başladığında vəziyyəti nəzarət altına almaq lazımdır. Bu simptomlar bunlardır:
Dişlərinizi fırçalayarkən hiss etdiyiniz ağrı və dişlərdən qanaxma,
Diş ətinin rənginin dəyişməsi (Sağlam diş əti quru qızılgül, açıq çəhrayı şəklindədir),
Diş ətində şişkinlik əmələ gəlməsi,
Dişlərdə karıncalanma və diş ətlərində həssaslıq,
Diş ətinin çəkilməsi səbəbindən dişlər normaldan daha uzun görünür,
Alma kimi sərt qidaları dişlədiyiniz zaman diş ətinizdə qanama.
Diş ətinin tənəzzülü necə müalicə olunur?
Diş əti çəkilməsinin müəyyən mərhələləri var və bu mərhələnin gedişinə uyğun müalicə aparılır. Yüngül diş əti çəkilişiniz varsa, dişləriniz diş həkimi tərəfindən təmizlənəcək, lövhə və diş daşı çıxarılacaq. Daha sonra rutin ağız baxımınıza davam etməyiniz və dişlərinizi mütəmadi olaraq fırçalayaraq lövhə əmələ gəlməsinin qarşısını almağınız tövsiyə olunur. Diş əti ilə diş arasında kök nahiyəsində boşluqlar varsa, bu nahiyə hamarlanır və lazım gələrsə xəstəyə antibiotiklər təyin oluna bilər. Bundan əlavə, ciddi diş əti problemi ilə qarşılaşırsınızsa, diş köklərinizdə ciddi boşluqlar varsa və zərər böyükdürsə, cərrahi əməliyyatlar edilməlidir. Diş əti çəkilməsində cərrahi əməliyyatlar 3 üsulla həyata keçirilir. Bunlar; açıq qapaq idarə olunan toxuma bərpası, diş eti grefti.
Açıq Flap metodu
Açıq qapaq tətbiqində diş əti ilə diş arasındakı boşluqlardakı bakteriyaların təmizlənməsi üçün diş əti toxuması arxaya bükülür. Təmizləmə prosesindən sonra bu boşluqlar tamamilə bağlanır və ya azaldılır.
Rəhbər Doku Regenerasiyası
Doku bərpası üsulu sümük itkisinin də mövzusu olduğu şiddətli diş əti resessiyasında tətbiq edilən bir müalicə üsuludur. Sümük və toxuma zədələrinin bərpası, sümük və toxumanın bərpası prosedurunu tətbiq edən bu üsulda əməliyyat sahəsinə bəzi bərpaedici materiallar tətbiq edilir.
Diş Eti Grefti
Diş Eti Grefti ilə əməliyyat zamanı üst damaqdan və ya ağızdakı sağlam nahiyədən toxuma götürülür və zədələnmiş diş əti toxumasına tikilir. Bu prosedurun səbəbi açıq qalan diş kökünü qorumaq və diş itkisinin qarşısını almaqdır. Ciddi diş əti problemi ilə üzləşirsinizsə, müalicəyə gecikməyin və bizimlə əlaqə saxlamaq üçün elə indi klikləyin!
Diş əti əməliyyatından sonra nəzərə alınmalı olanlar
Diş əti çəkilməsi əməliyyatından sonra nəzərə alınmalı olanlar aşağıdakılardır;
Əməliyyat sahəsi təsir kimi travmatik amillərdən uzaq tutulmalıdır.
Sərt, qabıqlı, həddindən artıq isti və ya soyuq, ədviyyatlı və turşulu qidalardan uzaq durmaq lazımdır.
Ağız sağlamlığına və lazımi gigiyena şərtlərinə daha çox diqqət yetirilməli, əməliyyat sahəsi həmişə təmiz saxlanılmalıdır.
Cərrahiyyə sahəsindəki tikişlərə diqqət yetirilməlidir.
1 həftə ərzində siqaret, tütün məmulatları və spirtdən uzaq durmaq lazımdır.
Diş ətinin resessiyasının qarşısını necə almaq olar?
Diş ətinin çökməsi sadə görünən, lakin lazımi tədbirlər görülmədikdə ciddi nəticələrə səbəb olan diş problemidir. Bir neçə sadə qaydaya əməl etməklə, cərrahi əməliyyatlara ehtiyac duymadan qısa müddətdə bu problemi aradan qaldıra və ağız sağlamlığınızı bərpa edə bilərsiniz. Sağlam dişlər və diş ətləri üçün müntəzəm olaraq etməli olduğunuz şeylər bunlardır;
Gündəlik diş və diş əti baxımınızı laqeyd etməməlisiniz.
Diş fırçası və ağız baxımı vasitələrinin düzgün istifadəsi ilə tam ağız gigiyenasını təmin etməlisiniz. (lövhə əmələ gəlməsinin qarşısını alan ağız baxım suları, interfeys fırçaları, diş ipi və s.)
Çox sərt tüklü diş fırçalarından istifadə etməməli və diş minasına zərər verəcək şəkildə sıxaraq dişlərinizi fırçalamamalısınız.
Siqaret çəkirsinizsə, buraxmağa çalışmalısınız. Çünki siqaret diş və ağız sağlamlığına mənfi təsir edir və diş əti resesiyası da daxil olmaqla bir çox diş əti xəstəliklərinə səbəb olur.
Hər gün balanslı və düzgün qidalanaraq vücudunuzun ehtiyac duyduğu vitamin və mineralları almağa çalışmalısınız.
Ağız sağlamlığınızı yaxından izləməli və mümkün anormal vəziyyətlərdə diş həkiminizə müraciət etməlisiniz.
Heç bir problem yaşamasanız belə, ildə ən azı 2 dəfə diş həkiminizə getməyi unutmamalısınız.




