
Rinoplastika əməliyyatı haqqında bilmək istədikləriniz
Rinoplastika, yaxud burun estetiği cərrahiyyəsi, simanın mərkəzində yerləşən burunun görünüşünü este ...

Rinoplastika, yaxud burun estetiği cərrahiyyəsi, simanın mərkəzində yerləşən burunun görünüşünü este ...

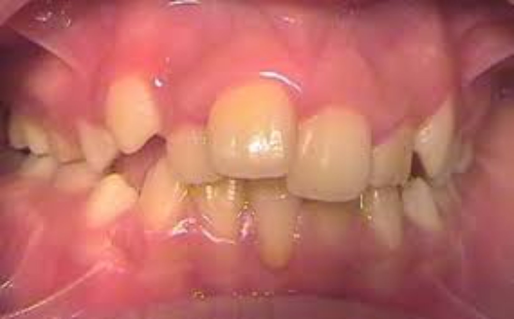
1. Diş Anomaliyaları Dişlərin sıxlıq və boşluq problemi: Dişlərin çox sıx olması (sıxlılıq) və ya ...

Diş Çürüməsinin Səbəbləri Diş çürüməsinin əsas səbəbi dişlərin üzərində yığılan bakteriyaların şə ...

Pis Nəfəsin Əsas Səbəbləri Ağız Gigiyenasının Pozulması Dişlərin və diş əti xəstəlikləri, diş ...

Ortodontik Korreksiyanın Növləri Metall Braketlər Təsvir: Paslanmayan poladdan hazırlanmış və ...

Səbəblər Kariesin yaranmasının əsas səbəbləri aşağıdakılardır: Bakteriyalar: Ağız boşluğunda S ...

Ağız Xərçənginin Səbəbləri 1. Tütün İstifadəsi Siqaret Çəkmə: Tütün tüstüsü ağız boşluğunun to ...

Diş İtki Səbəbləri 1. Diş Çürüməsi (Karies) Səbəbləri: Bakteriyaların şəkər və karbohidratları ...

Diş Həssaslığının Səbəbləri 1. Diş Minası Aşınması Səbəbləri: Sərt diş fırçası istifadə etmək, ...

Stomatitin səbəbləri: Viral infeksiyalar: Herpes simplex virusu kimi viruslar stomatitə səbəb ola bi ...

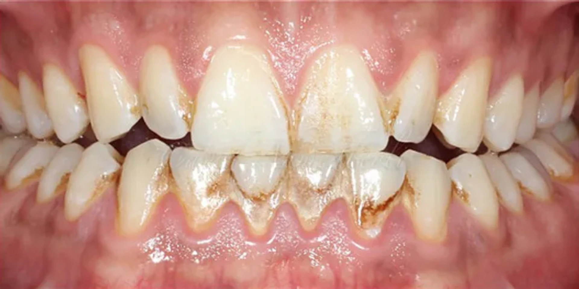
Səbəblər Gingivit (diş ətinin iltihabı): Lövhənin yığılması səbəbindən diş ətinin iltihabıdır. Zəif ...

Düzenli Olaraq Dişləri Fırçalamaq: Dişlərinizi gün ərzində iki dəfə, səhər və axşam vaxtı ən azı iki ...

İmplant müalicəsinin bir neçə fərqli mərhələsi var. Birinci mərhələ implantların çənə sümüyünə cərra ...

Ancaq prosedurdan sonra yüngül narahatlıq və ya ağrı ola bilər. İmplantın qoyulduğu bölgədəki toxuma ...

Qiymətləndirmə və Planlaşdırma: İmplant müalicəsi diş həkimi və ya implant mütəxəssisi tərəfindən qi ...

Diş minasının qorunması: Antioksidantlar diş minasının qorunmasına kömək edə bilər. Sərbəst radikall ...

Diş Ağartma Metodları Ofis Ağartma (Klinik Prosedur): Ümumi Proses: Diş həkimi tərəfindən klin ...

Yumşaq Çıxan Protezlər Strukturu: Elastik və yumşaq materiallardan hazırlanır. Üstünlükləri: ...

Bərk Toxuma Problemləri Çürük: Dişin mina və dentin təbəqəsinin bakteriyalar səbəbi ilə zədələ ...

İmplantasiyanın Proseduru Müayinə və Planlama: Diaqnoz: Həkim diş itkisi bölgəsini müayinə edi ...

Estetik Restavrasiyanın Əsas Tipləri Kompozit Dolğular: Nədir: Dişin rənginə uyğun xüsusi mate ...

Endodontiya və Kök Kanal Müalicəsinin Detalları Pulpa və Kök Kanalının Anlayışı: Pulpa: Dişin ...

Çənə Cərrahiyyəsinin Əsas Tipləri Dişlərin Çıxarılması: Ağıl Dişlərinin Çıxarılması: Ağıl dişl ...

Ailə Tarixçəsi: Eğer ailədə adentiya halları varsa, bu məlumat diş həkiminə və ya ortodontistə veril ...

Tam Seramik Qapaqların Əsas Xüsusiyyətləri: Estetiklik: Tam seramik qapaqlar, dişlərin təbii tran ...

Zirkon Qapaqlar: Material: Zirkon qapaqlar, yüksək dayanıqlı zirkonyum dioksid materialından hazı ...

Parodontitin Müalicəsi: Professionel Diş Təmizliyi: Parodontit, diş həkimi tərəfindən dərin di ...

Qızarma və Şişmə (Qızarıq Gingivit): Qızarıq və şişmə, əgər ətrafınızı dişlərinizin etrafında gördüy ...

Quru Ağızın Səbəbləri Bəzi Dərmanların Yan Təsirləri: Yüksək təzyiq, depressiya, anksiyete, al ...

Mənim diş ağrım var. Əgər isti və ya soyuq bir şey yediyiniz zaman dişiniz qısa müddət ərzində ağ ...