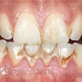
Karantin dövründə ağız və diş sağlamlığımızı qorumaq üçün nə etməliyik?

Dişlərinizi gündə ən azı iki dəfə tanınmış marka diş pastası və orta sərtlikli fırça ilə fırçalayın.
Fırçalamadan əvvəl diş ipi ilə dişlərinizin arasını təmizləyin. Sonra ovma edin.
Dişlərinizə uyğun bir pasta istifadə edin. Məsələn, diş ətinizdə problem varsa, diş əti xəstəlikləri üçün xüsusi hazırlanmış pastaları seçin.
Bakteriyaların 70%-i dildə yerləşir. Buna görə də dilinizi fırçalamağı unutmayın. Diş fırçanızdan istifadə edərək, dilinizi kökdən uca qədər təxminən 20 dəfə fırçalamaq ağız və diş sağlamlığınız üçün faydalı olacaq.
Gündə bir dəfə ağzınızı spirtsiz qarqara ilə (tercihen yatmazdan əvvəl) qarqara edin. Evdə ağız qarqarası yoxdursa, evdə hazırlanmış ağız qarqarasından da istifadə edə bilərsiniz. Evdə hazırlana bilən ağız qarqara reseptləri üçün "Fövqəladə hallarla qarşılaşdığınız zaman nə etməlisiniz?" Məqaləmizi oxumağınızı tövsiyə edirik.






