Diş Ətlərinin Qanaxması: Səbəbləri, Qarşısını Alma Yolları və Müalicəsi
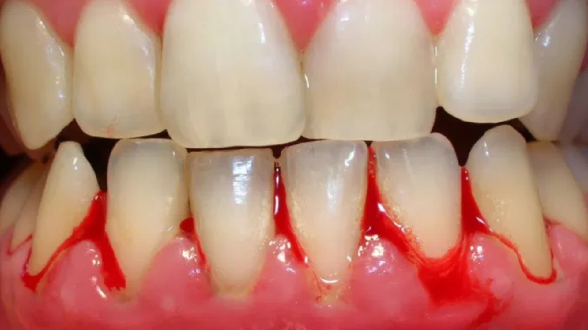
Diş ətlərinin qanaxması, adətən periodontal xəstəliklərin (diş ətləri xəstəlikləri) əlaməti ola bilər. Bu, çox vaxt yaxşı olmayan ağız baxımı nəticəsində inkişaf edən bir problemdir. Diş ətlərinin qanaxmasına səbəb olan ən ümumi amillərə aşağıdakılar daxildir:

- Plak Yığılması və Diş Daşı: Ağızda yığılan plak (bakteriyalarla dolu yapışqan, şəffaf bir qat) və zamanla sərtləşərək diş daşı halına gələn maddə diş ətlərinin irritasiyasına və qanaxmasına səbəb olur.
- Yanlış və ya Həddən Artıq Sərt Diş Fırçalama: Çox sərt və ya yanlış texnikayla diş fırçalama diş ətlərinə zərər verə və qanaxmaya səbəb ola bilər.
- Gingivit: Bu, diş ətlərinin iltihabıdır və ən yaygın periodontal xəstəliklərdən biridir. Gingivit adətən plak yığılmasının nəticəsidir və müalicə edilməzsə, daha ciddi periodontitə çevrilə bilər.
- Dərman Yan Təsirləri: Bəzi dərmanlar, xüsusilə qan sulandırıcılar və bəzi ürək dərmanları diş ətlərinin qanaxmasına səbəb ola bilər.
- Qida Çatışmazlığı: Xüsusilə C vitamini və K vitamini kimi bəzi vitaminlərin çatışmazlığı diş ətlərinin sağlamlığını mənfi təsir edə və qanaxmaya səbəb ola bilər.
- Hamiləlik: Hamiləlik zamanı hormonal dəyişikliklər diş ətlərinin daha həssas və qanaxmalı olmasına səbəb ola bilər.
Diş ətlərinin qanaxmasının qarşısını almaq üçün düzgün ağız baxımı praktikaları, düzgün diş fırçalama texnikaları, düzgün diş ipi istifadəsi və düzənli stomatoloq ziyarətləri vacibdir. Eyni zamanda, vitamin çatışmazlığını aradan qaldırmaq üçün sağlam qidalanma da mühümdür.
Əgər diş ətləriniz davamlı olaraq qanaxırsa və ya digər simptomlar (məsələn, diş ətlərinin şişməsi və ağrısı) varsa, stomatoloqa müraciət etmək məsləhətdir. Stomatoloq, səbəbini müəyyən etmək və lazımi müalicəni təyin etmək üçün lazımi yoxlamaları aparacaqdır.