Diz qapağının sınıqları

Səbəbləri
Diz qapağının sınıqlarının əsas səbəbləri arasında:
Doğrudan zərbə: Diz qapağına doğrudan vurulan güclü zərbələr (məsələn, düşmək, idman zamanı yaralanma).
Qəfil təzyiq: Qəfil və güclü bir qüvvə ilə dizin əyilməsi, məsələn, ayaqlarınız yerdə sabitkən cərəyan edən bir zərbə.
Qəza və travmalar: Nəqliyyat qəzaları zamanı diz qapağına qüvvətli təsir.
Simptomlar
Diz qapağının sınıqları ilə əlaqəli simptomlar arasında daxildir:
Dizdə güclü ağrı
Şişkinlik və morarma
Hərəkət məhdudiyyəti, diz qapağını əyə bilməmək
Dizdə qeyri-stabillik hissi
Yürüməkdə çətinlik
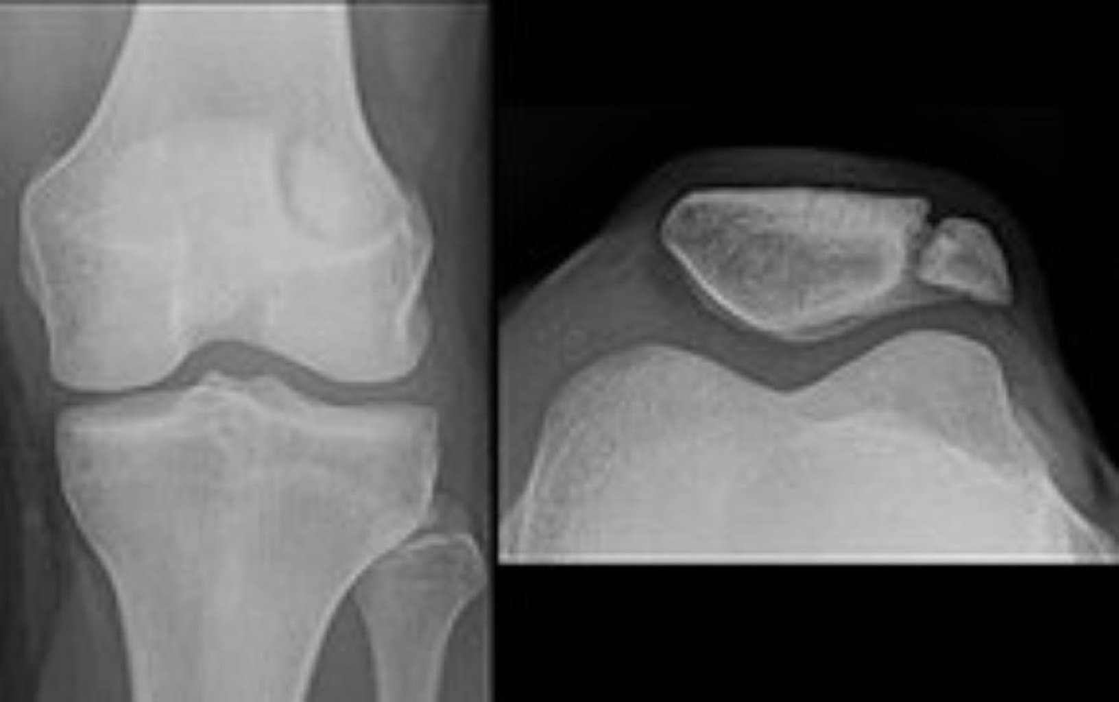
Diaqnoz
Diaqnoz adətən fiziki müayinə və radioloji testlər (məsələn, röntgen, CT skanı) ilə qoyulur. Bu testlər, sınığın yerini, növünü və şiddətini müəyyənləşdirmək üçün vacibdir.
Müalicə
Müalicə sınığın növünə və şiddətinə bağlıdır:
Yüngül və stabilləşdirilmiş sınıqlar: İmmobilizasiya (diz qapağını sabit saxlamaq üçün atel və ya dəstəklər), buz qoyulması, yüksək tutma və istirahət tələb edilə bilər.
Ciddi və ya qeyri-stabilləşdirilmiş sınıqlar: Cərrahi müdaxilə tələb edilə bilər. Cərrahi, sınıq hissələrini yenidən düzgün yerləşdirmək və sabitləşdirmək üçün aparılır.
Reabilitasiya: Hər iki halda da, tam sağalma və funksionallığın bərpası üçün fiziki terapiya və reabilitasiya proqramları vacibdir.
Diz qapağının sınıqlarında erkən müdaxilə və düzgün müalicə, uzunmüddətli problemlərin və komplikasiyaların qarşısını almaq üçün mühümdür. Sınıqdan sonra diz qapağının tam funksiyasını bərpa etmək müəyyən vaxt tələb edə bilər.