Diş Əti Xəstəlikləri: Gingivit və Periodontitdən Qorunma Yolları
Diş əti xəstəlikləri, ağız sağlamlığını təhdid edən və əsasən bakterial infeksiyadan qaynaqlanan yaygın problemlərdən biridir. Bu xəstəliklər, diş ətlərinin, diş kökünü əhatə edən toxumaların və sümüklərin iltihabı və zədələnməsini əhatə edir. Diş əti xəstəlikləri, ən yüngül halda gingivit olaraq başlayıp, daha ciddi periodontitə qədər inkişaf edə bilər.

Diş Əti Xəstəliklərinin Növləri
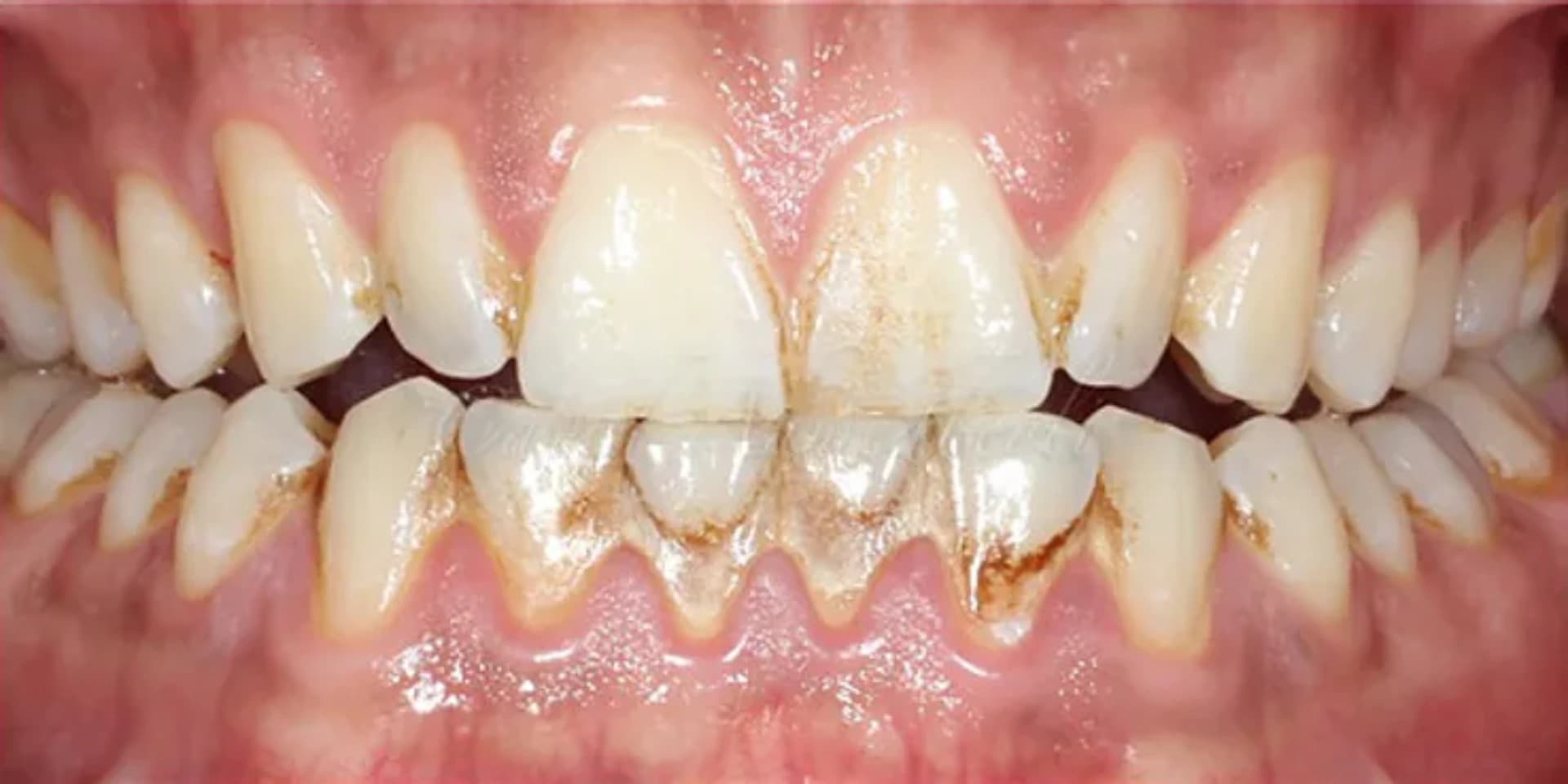
- Gingivit: Diş əti xəstəliklərinin ən yüngül formasıdır. Əsas simptomları diş ətlərinin qızarması, şişməsi və fırçalanma zamanı asanlıqla qanamasıdır.
- Periodontit: Gingivitin müalicə edilməməsi nəticəsində inkişaf edən daha ciddi vəziyyətdir. Periodontit, diş ətlərində, toxumalarda və dəstəkleyici sümükdə iltihaba səbəb olur.
Səbəbləri və Risk Faktorları
- Yanlış Ağız Baxımı: Düzenli və düzgün diş fırçalamaq və diş ipi istifadə etməmək.
- Tütün Məhsullarının İstifadəsi: Siqaret çəkmək və digər tütün məhsullarının istifadəsi.
- Genetik Faktorlar: Diş əti xəstəliklərinə genetik meyillilik.
- Xroniki Xəstəliklər: Şəkər xəstəliyi (diabet), ürək xəstəlikləri və digər xroniki sağlamlıq problemləri.
- Hamiləlik və Hormonal Dəyişikliklər: Hamiləlik, menstruasiya, menopoz kimi hormonal dəyişikliklər də diş əti xəstəliklərinə meyilliliyi artıra bilər.
Simptomlar
- Diş Ətlərində Qızartı və Şişkinlik
- Diş Ətlərindən Qan Gəlməsi, xüsusilə fırçalama və ya diş ipi istifadə edərkən.
- Diş Ətlərindən Pis Qoxu Gəlməsi
- Dişlərin Sallanması və ya yerindən oynaması.
- Dişlər Arasında Açılmaların Yaranması
Müalicə və Qarşısını Alma
- Profesional Təmizləmə və Müalicə: Diş həkimləri tərəfindən diş daşlarının və plakların təmizlənməsi, iltihabı azaltmaq üçün müalicələr.
- Düzgün Ağız Baxımı: Gündəlik diş fırçalamaq və diş ipi istifadə etmək.
- Sağlam Qidalanma: Şəkərli və turş qidaların məhdudlaşdırılması.
- Düzenli Diş Həkimi Yoxlamaları: Problemlərin erkən mərhələdə aşkarlanması üçün.
Diş əti xəstəlikləri, erkən mərhələdə müalicə edildikdə asanlıqla idarə edilə bilən xəstəliklərdir. Lakin müalicə edilmədikdə ciddi sağlamlıq problemlərinə səbəb ola bilər, buna görə düzenli ağız baxımı və diş həkimi yoxlamaları çox önəmlidir.