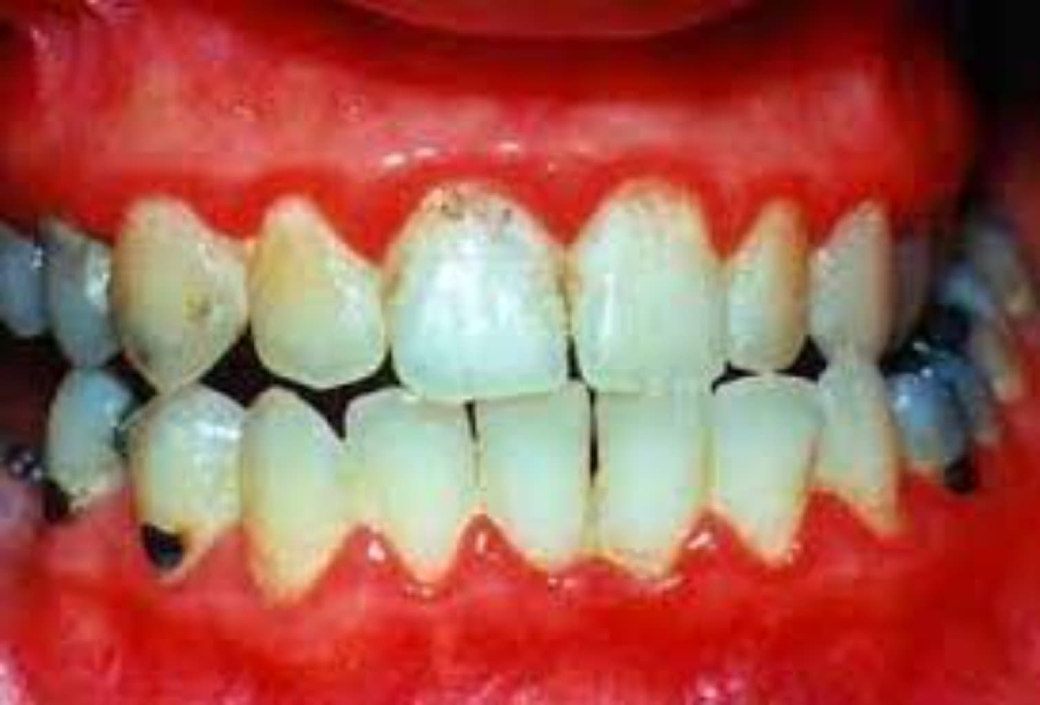
Periodontit (diş əti sərişdən xəstəliyi):

Periodontitin Yaranma Mekanizması
Periodontitin əsas mekanizması, ağızdakı bakteriyel plakların və bakteri ləhçələrinin dişlərə yapışaraq diş ətiri ilə bağlı problem yaratmaqdır. Bakterilər plak formalaşmasına və inflamasiyaya səbəb ola bilər. Plakın və bakteriyel ləhçələrin dişlərdən təmizlənməməsi nəticəsində, inflamasiya ətir sərişini zərər verir və bu da dişlərin dişəqəmisini zərər görür.
Periodontitin Simptomları
Periodontitin əvvəlki mərhələlərində simptomlar minimal ola bilər və xəstə hissaslıq və diş ətirində hovuzlanma kimi kiçik problemlərlə sınırlı ola bilər. Ancaq xəstəlik daha irəli səviyyələrdə ağrı, diş itki və diş sürüşünün pozulması ilə nəticələnə bilər. Periodontitin ağır halı abseslər, diş dərinə sızma və ümumi diş sağlamlığını pozmağa səbəb ola bilər.
Periodontitin Müalicəsi və Profilaktik Tədbirlər
Periodontitin müalicəsi, diş hekimləri tərəfindən diş ətir sərişində inflamasiyanın yatışdırılması, diş plaklarının və tartarın təmizlənməsi və diş ətirinin bərpası ilə aparılır. Əgər periodontit çox irəli səviyyədədir və dişlər də zərər görübsə, ətir və dişin əvəzlənməsi də tələb edilə bilər.
Periodontitin qarşısının alınması və profilaktik tədbirlər aşağıdakıları əhatə edir:
- Düzenli diş hekiminə getmək və müayinələr etdirmək.
- Sağlam qidalanma alışkanlıqlarını qorumaq və şəkərli və asidli qidalardan uzaq durmaq.
- Düzenli olaraq dişləri fırçalamaq və diş ipi istifadə etmək.
- Suyun baxımı ilə bağlı tədbirlər.
- Risk faktorlarını, məsələn, sigaret çəkməyi və diabeti idarə etməyi nəzarət altında saxlamaq.
Periodontit, diş sağlamlığının əhəmiyyətli bir hissəsini təşkil edir və profilaktik tədbirlər və düzenli diş müayinələri ilə qarşısının alınması vacibdir.