Revmatizmal dəri xəstəlikləri (Qırmızı qurdeşənəyi)

Məzmun süni intellekt ilə optimallaşdırılmışdır
Qırmızı Qurdeşənəyi (Lupus Erythematosus) Haqda Ümumi Məlumat
Qırmızı qurdeşənəyi (Lupus Erythematosus), immun sisteminin bədənin öz sağlam toxumalarına hücum etməsi nəticəsində yaranan xroniki bir xəstəlikdir. Bu xəstəlik fərqli formalarda təzahür edərək həm dərini, həm də daxili orqanları ciddi şəkildə təsir edə bilər. Xəstəliyin gedişatını anlamaq üçün onun növlərini və bədənə təsirlərini bilmək vacibdir.
Qırmızı Qurdeşənəyi Növləri və Xüsusiyyətləri
Lupus xəstəliyi əsasən iki fərqli formada qarşımıza çıxır. Hər iki növün bədən üzərindəki təsir dairəsi fərqlidir:
1. Sistemik Lupus Erythematosus (SLE)
Sistemik Lupus Erythematosus (SLE), xəstəliyin ən geniş yayılmış və ciddi formasıdır. Bu növ bütün bədəni təsir edə bilər və aşağıdakı orqanlarda ciddi simptomlara səbəb olur:
- Əzələlər və oynaqlar
- Böyrəklər və beyin
- Qəlb və ciyərlər
2. Diskoid Lupus Erythematosus (DLE)
Diskoid Lupus Erythematosus (DLE), əsasən dərini təsir edən bir növdür. Bu forma dəridə qalıcı lezyonlara səbəb ola bilər. Qeyd edilməlidir ki, DLE diaqnozu qoyulan bəzi xəstələrdə irəliləyən dövrlərdə SLE inkişaf etmə riski mövcuddur.
Lupus Xəstəliyinin Əsas Belirtiləri
Qırmızı qurdeşənəyi müxtəlif klinik əlamətlərlə özünü büruzə verir. Ən çox rast gəlinən simptomlar aşağıdakılardır:
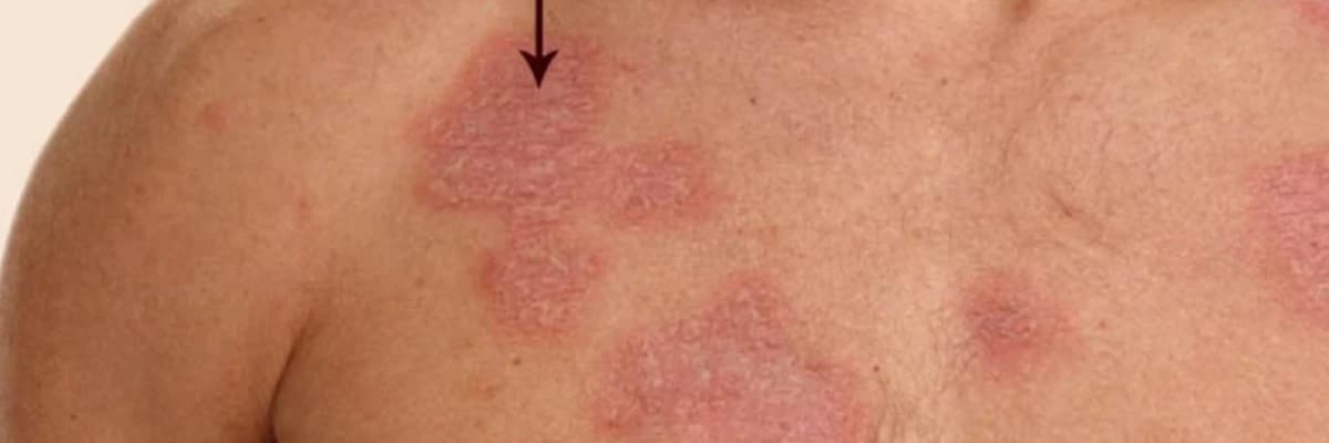
- Dəri lezyonları: Xüsusilə günəş şüalarına məruz qalan bölgələrdə yaranan qırmızı və qabarıq yaralar.
- "Kəpənək" qızartısı: Yanaqlar və burun üzərində formalaşan, kəpənək şəklini xatırladan xarakterik qızartı.
- Sistemik simptomlar: Şiddətli yorğunluq, yüksək qızdırma, ağız və burun boşluğunda yaranan yaralar.
- Saç tökülməsi: Xəstəliyin aktiv dövrlərində müşahidə olunan saç seyrəlməsi.
- Oynaq problemləri: Oynaqlarda yaranan ağrı və şişkinlik halları.
Qırmızı Qurdeşənəyi Müalicə Metodları
Xəstəliyin müalicəsi simptomların şiddətinə və təsir etdiyi nahiyələrə görə iki əsas istiqamətdə aparılır:
| Müalicə Sahəsi | İstifadə Olunan Metodlar və Vasitələr |
|---|---|
| Sistemik Müalicə | İltihabı azaltmaq üçün immünsupresif dərmanlar, kortikosteroidlər və antimalarial dərmanlar (hidroksiklorokin). |
| Dəri Müalicəsi | Simptomları idarə etmək üçün yüksək SPF dəyərli günəş kremləri, topikal steroidlər və xüsusi qulluq məhsulları. |
Mütəxəssis Tövsiyələri və Yaşam Tərzi
Qırmızı qurdeşənəyi olan xəstələrin düzgün diaqnoz və effektiv müalicə planı üçün revmatoloq və dermatoloq kimi ixtisaslaşmış həkimlərə müraciət etmələri mütləqdir. Xəstəlik xroniki xarakter daşısa da, müasir müalicə üsulları ilə simptomlar uğurla idarə oluna və yaşam keyfiyyəti yüksəldilə bilər.
Xəstələrə günəşdən qorunmaq, sağlam həyat tərzi sürmək və müntəzəm həkim nəzarətindən keçmək ciddi şəkildə tövsiyə olunur.