
Endometriyanın diaqnostik qaşınması
Prosedür Nasıl Yapılır? Hazırlık: Hasta prosedür öncesinde genellikle aç kalmalıdır. Prosedür, ha ...

Prosedür Nasıl Yapılır? Hazırlık: Hasta prosedür öncesinde genellikle aç kalmalıdır. Prosedür, ha ...

Operativ Histeroskopiya Nasıl Yapılır? Hazırlık: Hasta, prosedürden önce detaylı bir şekilde bilg ...

Labioplastika Prosedürü Labioplastika genellikle lokal anestezi altında yapılır, ancak bazı durum ...

Vaginoplastika Prosedürü Vaginoplastika genellikle lokal anestezi altında gerçekleştirilen bir iş ...

Açıq Əməliyyatlar (Laparotomi) Açıq əməliyyatlar, geniş bir kəsik vasitəsilə aparılan girişimləri ...

Normal Doğuş (Vajinal Doğum) Normal doğuş, bebeklerin annenin vajinası yoluyla doğal yollarla dün ...

Pipelle Endometrial Biopsi Nasıl Yapılır? Hazırlık: Hasta prosedür için bilgilendirilir ve rahat ...

Prosedür Nasıl Yapılır? Hazırlık: Hasta, prosedür öncesinde detaylı bir şekilde bilgilendirilir. ...

Pessar Taxılması Pessarın taxılması prosesi, qadının ehtiyaclarına və vəziyyətinin xüsusiyyətləri ...

Spiral Taxılması Spiral taxılması proseduru, adətən qadının menstrual siklusunun ilk günündən son ...

Fiziki Terapiya Pelvik Taban Fizioterapiyası: Pelvik taban əzələlərinin idarə edilməsini öyrətmək ...

Hormonal Müalicələr Hormonal dəngəsizlikləri düzəltmək üçün dərmanlar, ovulyasiyanı stimullaşdırm ...

İlk Trimester (1-12 Həftə) İlk Prenatal Ziyarət: Hamiləliyin təsdiqlənməsi, ananın sağlamlıq tari ...

Erkən Mərhələlərdə Müalicə Qan Şəkəri və Təzyiqin Nəzarəti: Diabetik retinopatiyanın inkişafını y ...

Potensial Tətbiqlər Endometrial Hipoplaziya və Asherman Sindromu: Endometriumun doğuşdan gələn in ...

Menstrual Tsikl Problemlərinin Diaqnostikası Menstrual tsikl problemləri adət dövrünün qeyri-münt ...

Təbii Doğuş Təbii doğuş, körpənin ananın doğuş kanalı vasitəsilə doğulduğu prosesdir. Bu, mümkün ...

Abdominal Əməliyyatların Əsas Növləri Appendektomiya: Appendixin çıxarılması. Kolesistektomiya ...

Obstetrik Ultrasəs Obstetrik ultrasəs, hamiləliyin müxtəlif mərhələlərində aparılan ultrasəs müay ...

Yaygın İntim və Vaginal Plastika Növləri Labiyoplastika: Labia minora (daxili dodaqların) və/veya ...

Sonsuzluğun Diaqnostikası Qadınlar üçün: Ginekoloji müayinə: Ümumi sağlamlıq vəziyyəti və repr ...

Laparoskopik Əməliyyatlar Laparoskopi, karın boşluğunda kiçik kəsiklər açılarak və karın içərisin ...

Yüksək Riskli Hamiləliklərə Nəzarət Yüksək riskli hamiləliklərin izlənilməsində bir sıra xüsusi t ...

Səbəbləri: Asherson sindromunun səbəbləri tam olaraq anlaşılmamışdır, lakin bazı faktorların bu a ...

Amniotik Mayenin Əsas Funksiyaları: Fetusun Qorunması: Fetusun sarsıntılardan, zədələnmədən və in ...

Diş çıxarılmasından sonra ağız sağlamlığını qorumaq və müalicə sahəsindəki ağrı və infeksiya riskini ...

Ginekoloji erkən diaqnozun əsas komponentləri aşağıdakılardır: Düzenli Ginekoloji Muayinələr: Qad ...

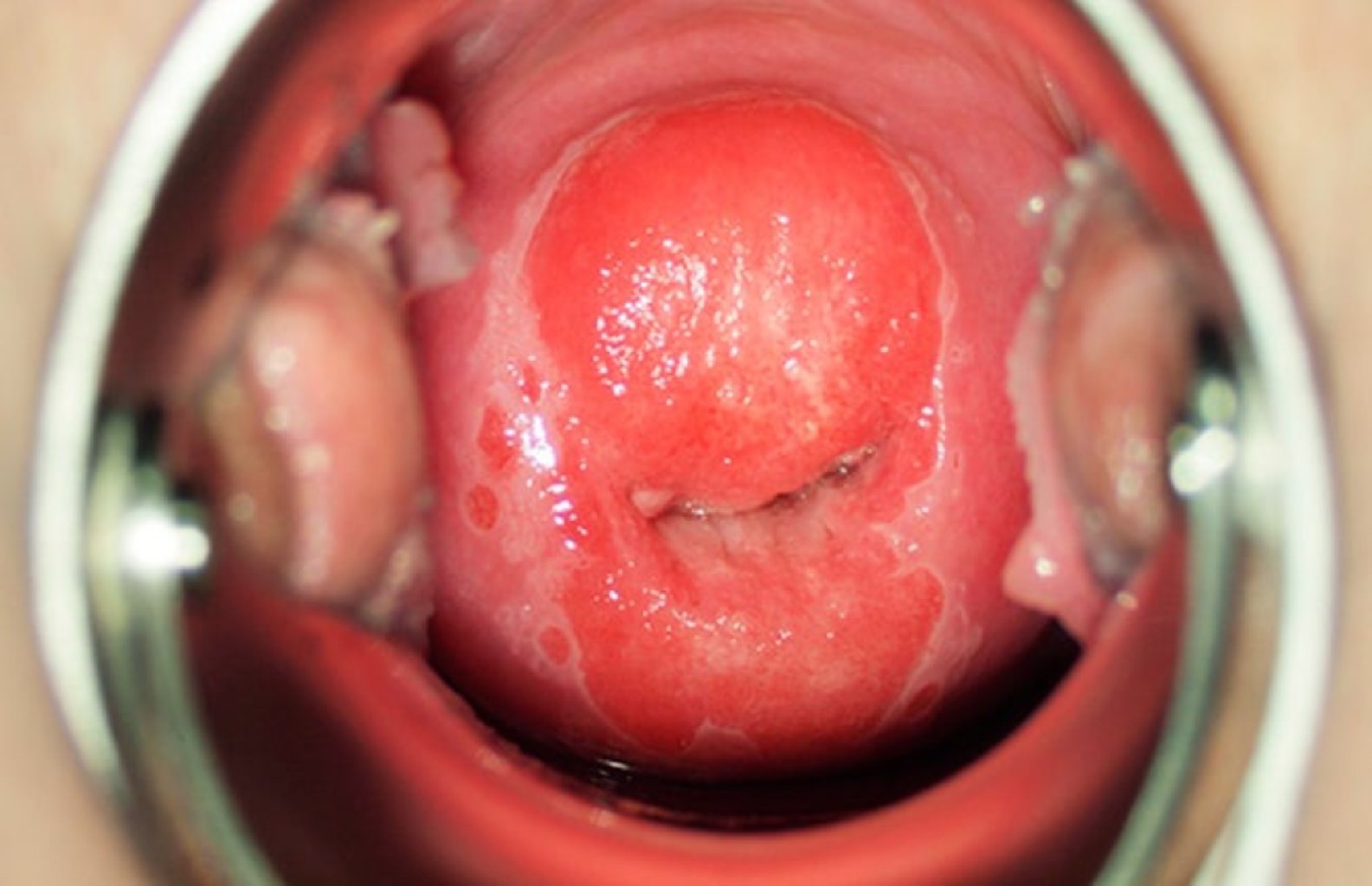
Uşaqlıq Boynu Eroziyasının Səbəbləri: Hormonal Dəyişikliklər: Hamiləlik, pubertət və ya hormonal ...

Əlamətlər və Simptomlar Sürekli kədərli, üzgün və ya boş hiss etmək Maraqlarını itirmək və zöv ...

Erkən Klimaksın Əlamətləri: Düzensiz Adət Dövrləri: Adət dövründə düzensizliklər və ya tamamilə d ...