
Qulaq əməliyyatları
Qulaq Ürəkçələri (Tıkanmış Qulaq Tütüncüləri) Əməliyyatı: Bəzi insanlar tütün və ya tikinti qulaq ür ...

Qulaq Ürəkçələri (Tıkanmış Qulaq Tütüncüləri) Əməliyyatı: Bəzi insanlar tütün və ya tikinti qulaq ür ...

Tiroid Əməliyyatları: Tiroid, boyunda yerləşir və hormonlarının tənzimlənməsi üçün əhəmiyyətlidir. T ...

Adenoidektomiyanın başlıca səbəbləri və müalicə sahələri aşağıda təsvir olunur: Adenoid Hiperp ...

Keloidlar: Keloidlar, yara izi bölgəsində aşırı çıxan və kövrülmüş həddə qədər genişləyən xəstəlikdi ...

Konsultasiya və Plandırma: Əvvəlcə, bir plastik cərrah və ya otoplastika uzmanı ilə bir konsultasiya ...

Timpanoplastika prosedurunun məqsədləri və faydaları aşağıdakı kimidir: Timpanik Membranın Tam ...

Səbəblər: Anatomik Faktorlar: Bazən doğuşdan gələn anatomik yaradılış xətası gözyaşı kanalları ...

Estetik Xoruldama Cərrahiyyəsi: Bu prosedur, estetik məqsədlərlə təyin olunur. Məsələn, burun xorulu ...

Tonzillektomiya prosedurunun əsas məqsədləri aşağıdakılardır: Badamlıq İltihabının Müalicəsi: ...

FESC-nin əsas məqsədi aşağıdakıları həyata keçirməkdir: Sinüzit və Sinus Problemlərinin Tədqiq ...

İşləmə qaydası aşağıdakı kimi işləyir: Narkoz: Uşaq narkoz altında olur. Bu, uşağın ağrı və tə ...

Adenotomiya (Balıqqulaqların çıxarılması): Əməliyyatın Əsas Məqsədi: Adenotomiya, balıqqulaqla ...

Burun Çəpəri Əyriliyinin Səbəbləri: Doğuştan Gələn: Bu, insanların doğuşdan gələn anatomik bir ...

Afoniya: Afoniya, səsin quruması və ya itirilməsi halında baş verir. Bu, səs tələbələrinin səs vermə ...

Kəskin Laringit Səbəblər: Kəskin laringit adətən viral infeksiyaların təsiri altında baş ve ...

Kəskin Faringit Səbəblər: Kəskin faringit adətən viral infeksiyaların nəticəsində meydana g ...

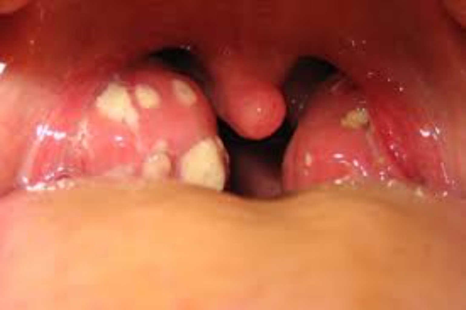
Kəskin Tonzillit Səbəblər: Kəskin tonzillit adətən viral infeksiyaların nəticəsində meydana ...

Səbəblər Soğuqalgınlığı və Üst Solunum Yolu İnfeksiyaları: Soğuqalgınlığı, qrip, boğaz ağrısı ...

Anterior Burun Qanamaları Anterior burun qanamaları, burunun ön hissəsindəki Kiesselbach plexusu ...

Səbəblər Nazal polipozun dəqiq səbəbi hələ tam aydın deyil, lakin aşağıdakı amillərin əlaqəli ola ...

Səbəblər Qoxu alma qüsurlarının mümkün səbəbləri arasında aşağıdakılar yer alır: Burun və S ...

Allergik Rinit Allergik rinit, bəzi insanlarda alerjenlərə (polen, toz akarları, heyvan tükləri, ...

Sinusit Simptomları Sinusit simptomları arasında aşağıdakılar daxildir: Baş ağrısı Yüz ağ ...

Tinnitusun Səbəbləri Tinnitusun bir çox mümkün səbəbləri var, bunlar arasında: Uzun müddətl ...

Vertigonun Səbəbləri Vertigonun bir çox müxtəlif səbəbləri ola bilər, ən yaygınları aşağıdakılard ...

Qulaq İnfeksiyalarının Növləri Akut Otit Media (AOM): Orta qulağın arxasında, eardrumun arxası ...

Testin əhəmiyyəti Erkən Diaqnoz: Eşitmə itkisi erkən diaqnoz qoyulduğunda körpənin dil və nitq ...

Eşitmə itkisinin səbəbləri: Eşitmə itkisi müxtəlif səbəblərdən baş verə bilər. Eşitmə itkisinin ə ...

Qulaq pərdəsinin quruluşu: Əvvəlcə qulaq pərdəsinin quruluşundan başlayaq. Qulaq pərdəsi insan qu ...

Gözyaşı kanalının tıxanmasının səbəbləri: Yaşlanma: Yaşlandıqca gözyaşardıcı kanallar təbii olara ...