Daban tıxacları və müalicə üsulları

Məzmun süni intellekt ilə optimallaşdırılmışdır
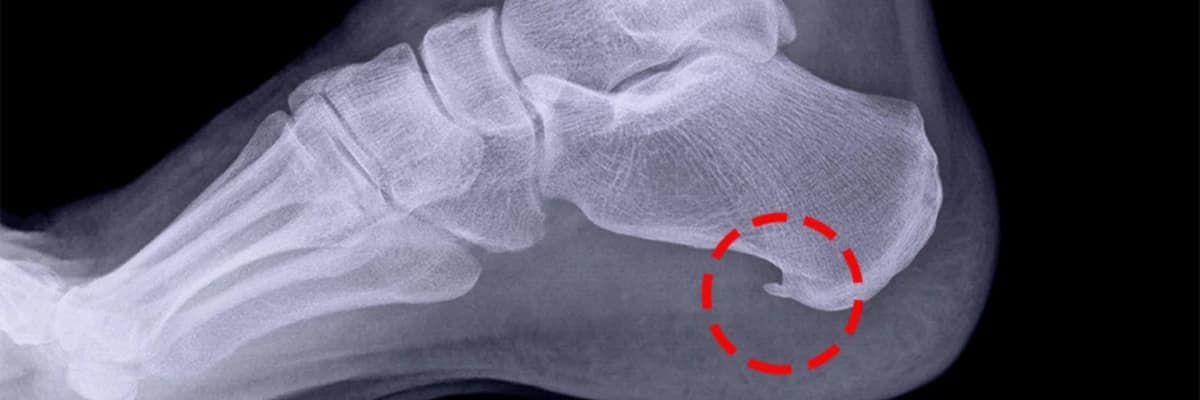
Daban dikəsi, ayağın daban hissəsində sanki bərk bir cisim batırmış kimi kəskin ağrıya səbəb olan və həyat keyfiyyətini əhəmiyyətli dərəcədə aşağı salan bir sağlamlıq problemidir. Bu ağrının əsas səbəbi, ayaq altındakı plantarfaziya adlı əzələnin yeriyərkən bükülməsi və yay hərəkəti funksiyasını yerinə yetirə bilməməsidir. Bu əzələ, bədən ağırlığının yerə ötürülməsində kritik rol oynayır.
Daban Dikəsi Niyə Yaranır?
Daban çubuğu problemində ayaq altındakı əzələ kifayət qədər uzana bilmir və yükü yerə tam ötürə bilmədiyi üçün ağrı yaranır. Müxtəlif səbəblərdən bu əzələ qısalır və dabanın yerə dəydiyi hissəni dartmağa başlayır. Bu nöqtədə yaranan gərginlik bəzi hallarda qanaxmaya belə səbəb ola bilər. Zamanla həmin nahiyə qalınlaşaraq xaricə doğru çıxıntı yaradır və xalq arasında daban dikəsi kimi tanınan formanı alır.
Daban Dikəsinin Əsas Simptomları
Daban tıxacları olan şəxslər, xüsusilə səhərlər yataqdan qalxdıqdan sonra atılan ilk addımlarda şiddətli ağrı hiss edirlər. Bu hiss, sərt və iti bir cismin üzərinə basmaqla müqayisə edilir. Simptomların xüsusiyyətləri aşağıdakılardır:
- Gün ərzində yeriməyə davam etdikcə ağrı bir qədər azala bilər.
- Uzunmüddətli gəzintilərdən sonra ağrı yenidən şiddətlənir.
- İstirahət etdikdən sonra ağrı adətən asanlıqla keçmir.
Bu narahatlığın diaqnozu peşəkar ortopedik müayinə, rentgen və MRT (Maqnit Rezonans Tomoqrafiya) vasitəsilə qoyulur.
Müalicə Üsulları və İlkin Tədbirlər
Daban tıxaclarının müalicəsində ilk mərhələdə konservativ üsullara müraciət edilir. Bu çərçivədə ağrıkəsici kremlər, masaj və soyuq kompres tətbiqləri olduqca effektivdir. Müalicə prosesi orta hesabla 3-4 həftə davam edə bilər.
Düzgün Ayaqqabı və Başmaq İstifadəsi
Müalicənin uğurlu olması üçün ayaqqabı seçiminə xüsusi diqqət yetirilməlidir:
- Yumşaq dabanlı ayaqqabılar krem və masaj terapiyası ilə birlikdə istifadə edilməlidir.
- Lazım gəldikdə ortopedik daban dayaqları (içliklər) tətbiq olunmalıdır.
- Ev şəraitində əsla ayaqyalın gəzməməli, ortopedik başmaqlara üstünlük verilməlidir.
PRP və İnyeksiya Texnikası ilə Müalicə
Masaj və soyuq tətbiqin yetərli olmadığı hallarda daha təkmil müalicə variantları tətbiq edilir. Bunlardan biri də PRP və kortizon inyeksiyalarıdır. PRP müalicəsinin mərhələləri aşağıdakı kimidir:
| Mərhələ | Prosesin Təsviri |
|---|---|
| Analiz | Xəstədən ilkin qan nümunəsi alınır. |
| Sentrifuqa | Qan xüsusi cihazda fırladılaraq komponentlərinə ayrılır. |
| Zənginləşdirmə | Qırmızı və ağ qan hüceyrələri ayrılaraq, qan trombositlərlə zənginləşdirilir. |
Cərrahi Müdaxilə və Bərpa Dövrü
Fərdi içliklər, fiziki müalicə, kortizon və ya PRP inyeksiyaları kimi üsullar nəticə vermədikdə cərrahi müalicə tələb oluna bilər. Əməliyyat həm açıq, həm də qapalı üsulla həyata keçirilə bilər və əsas məqsəd əzələ ilə sinirlərin rahatlamasını təmin etməkdir.
Əməliyyatdan sonrakı sağalma prosesi aşağıdakı ardıcıllıqla tamamlanır:
- 15 günlük mütləq istirahət dövrü.
- Müntəzəm fiziki müalicə seansları.
- Xüsusi ortopedik ayaqqabıların istifadəsi.
Bütün bu mərhələlərdən sonra daban çubuğunun tam müalicəsi orta hesabla 3 aya başa çatır.









