
Antrakoz
Antrakozun simptomları insandan insana və şiddətə görə dəyişə bilər. Bununla belə, ümumi simptomlar ...

Antrakozun simptomları insandan insana və şiddətə görə dəyişə bilər. Bununla belə, ümumi simptomlar ...

Yaralanmalar: Diz ağrısının ən çox görülən səbəblərindən biri zədələrdir. Diz burkulması, bağ zədəsi ...

Skoliozun səbəbi tam olaraq bilinməsə də, genetik faktorlar, onurğa əzələlərindəki balanssızlıqlar, ...

Yaygın Simptomlar: Sabahları oynaqlarda müşahidə edilən uzun müddətli sərtləşmə; bu sərtləşmə gün ...

Onurğa beyni şişliyinin səbəbləri müxtəlif ola bilər: Lezyonlar: Omuriliyin ətrafındakı lezyon ...

Kifozun səbəbləri və növləri ola bilər: Postural kifoz: Ən çox rast gəlinən növdür və adətən ...

Skoliozun nəticələri və səbəbləri müxtəlif olabilir: Nəticələr: Skolioz, ağrı və yorgunluq kim ...

Osteoporozun səbəbləri və risk faktorları Yaşlanma: Yaşlandıqca sümük sıxlığı təbii olaraq aza ...

Ayaq Əməliyyatı: Ayaq əməliyyatları, hallux valgus (bunion) kimi deformasiyaların, plantar f ...

Kök Hüceyrə Növləri: Əmbrion kök hüceyrələri: Döllənmiş yumurtadan əldə edilir və hər növ hüce ...

Çiyin Əməliyyatı: Çiyin əməliyyatları, çiyin çıxıqları, çiyin qırıqları, artrit və ya çiyin ...

Boy Artımı: Boyun artımı, adətən, genetik amillər, qidalanma və sağlamlıq statusu ilə sıx əl ...

Diz Osteotomiyası: Diz əyilməsi kimi problemlərin düzəldilməsi üçün istifadə olunur. Məsələn, diz os ...

Karpal tunel əməliyyatı iki əsas növdə həyata keçirilə bilər: Karpal Tunel Açıq Cərrahiyyə: Bu ...

Nümunələr: Diabet: Şəkərli diabet xəstələri qlükoza səviyyəsini nəzarət altında saxlamaq üçün ...

Yastı daban səbəbləri və növləri fərqli ola bilər: Anadangəlmə düz (Konjenital) daban: Bu ...

Təbii qüsurların bəzi nümunələri ola bilər: Ürək Anomaliyaları: Anadangəlmə ürək anomaliyaları ...

Pes ekinovarusunun əsas səbəbləri aşağıdakılar ola bilər: Anadangəlmə mənşəli: Bu vəziyyət bəz ...

Bankart lezyonu cerrahisi aşağıdaki şekillerde yapılabilir: Açık Cerrahi: Bu yöntemde, cerrah ...

Çiyin sıxılma sindromu cerrahisi aşağıdaki şekillerde yapılabilir: Çiyin Sıxılma Açıq Cərrahiy ...

ACL əməliyyatı iki əsas növdə edilə bilər: ACL Repair (Reparation): Əgər ACL yırtığı kiçikdirs ...

Menisküs ameliyatı iki ana türde gerçekleştirilir: Menisküs Tamiri (Menisküs Reparasyonu): Eğe ...

Çiyin protezi nədir? Çiyin protezi çiyin oynağında zədələnmiş və ya degenerativ toxumaların çıxa ...

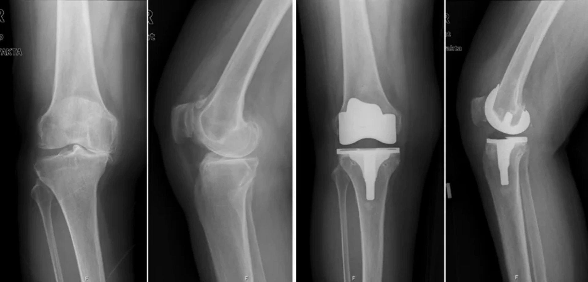
Diz artroplastiyası nədir? Diz artroplastiyası diz oynağında zədələnmiş və ya degenerativ toxumal ...

Omba protezləri titan, paslanmayan polad və ya digər davamlı materiallardan hazırlana bilər və adətə ...

Simptomlar: Oynaq Ağrısı və Şişkinlik: Bir və ya bir neçə oynaqda ağrı və şişkinlik yarana bilər. ...

Simptomlar: Ağrı: Gərgin əzələ nahiyəsində şiddətli ağrı hiss olunur. Şişkinlik və göyərmə: Əzəl ...

Simptomlar: Kəsmə: Onurğa normaldan daha çox irəli əyilmiş kimi görünə bilər. Ağrı və Gərginlik: ...

1. Səbəblər: Travma: Yaralanmalar və ya qəzalar sinirin sıxılmasına səbəb ola bilər. İltihab: Ətrafd ...

1. Səbəblər: Travma: Düşmə, idman xəsarətləri və ya qəzalar kimi travmatik hadisələr oynaqların ç ...