
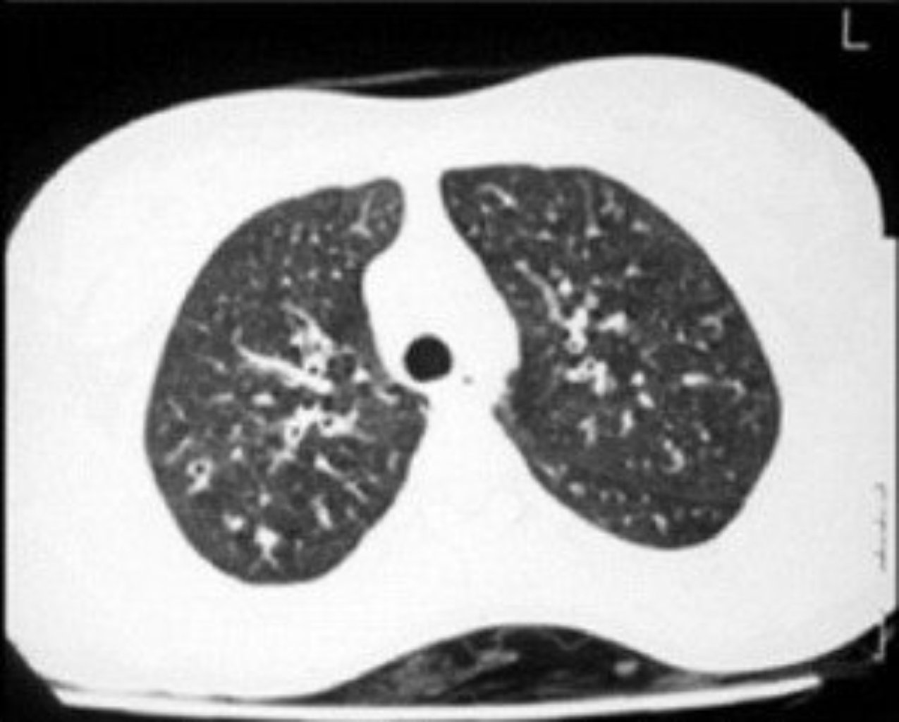
Bronşektazi
Bronşektaza səbəb olan bir çox faktor ola bilər. Onların arasında: Təkrarlanan tənəffüs yollarının i ...

Bronşektaza səbəb olan bir çox faktor ola bilər. Onların arasında: Təkrarlanan tənəffüs yollarının i ...

Müşahidə (Taqib): Kiçik və asemptomatik kistlər adətən yalnız müntəzəm monitorinq altında saxlanılır ...

Ağciyərlərdə limfa düyünləri adətən rentgen və ya kompüter tomoqrafiyası (KT) zamanı təsadüfən aşkar ...

Ağciyər absesi: Ağciyər absesi adətən bakterial infeksiya nəticəsində yaranan və ağciyər toxumasında ...

Birincili pnevmotoraks: Birincili pnevmotoraks adətən sağlam və gənc fərdlərdə görülür və heç bir əs ...

Ağciyər emboliyasının ən çox görülən səbəbi ayaq damarlarında meydana gələn dərin ven trombozu (DVT) ...

Silikoz adətən uzunmüddətli, aşağı səviyyədə məruz qalma nəticəsində inkişaf edir. İşçilər tozla nəf ...

KOAH ümumiyyətlə iki başlıq altında araşdırılır: Xroniki bronxit: bronxial boruların xroniki iltihab ...

Plevritin müxtəlif səbəbləri ola bilər: İnfeksiyalar: Bakterial, viral və ya göbələk infeksiyaları p ...

Bronxial astmanın əsas simptomları bunlardır: Nəfəs almaqda çətinlik: Astma tutması zamanı tənəffüs ...

Tənəffüs Funksiyasının Qiymətləndirilməsi Müayinədən Əvvəl: Xəstənin simptomları, anamnezi və ...

Xarici Tənəffüs Funksiyası Testləri Spirometriya: Ağciyərlərin həcmini və hava axını ölçür. ...

Ambulator Müalicə Ambulator müalicə, xəstənin tibbi xidmətləri aldıqları gün evə qayıtdığı və xəs ...

Differensial Diaqnostikanın Mərhələləri Simptomların Ətraflı Toplanması: Xəstənin bütün şikayə ...

Pulmonoloji Müayinənin Mərhələləri Anamnez: Xəstənin keçmiş tibbi tarixçəsi, o cümlədən yaşadığı ...

Ağciyar atreziyası müxtəlif dərəcələrdə ola bilər. Ağır hallarda ağciyərlərin heç biri açılmır və ha ...

GERD simptomları aşağıdakıları əhatə edə bilər: Yanma hissi və ya ağrı: Ürək yanması da adlandırılan ...

Tənəffüs yoluxucu xəstəliklər bir neçə fərqli şəkildə təsnif edilə bilər: Yuxarı tənəffüs yollarının ...

Ağciyər fibrozunun simptomlarına aşağıdakılar daxil ola bilər: Nəfəs darlığı: Ən çox görülən simptom ...

KOAH-ın əsas simptomları bunlardır: Nəfəs darlığı: Xüsusilə məşq və ya gündəlik fəaliyyətlər zamanı ...

Astma simptomlarına aşağıdakılar daxildir: Öskürək: Xüsusilə gecə və ya erkən saatlarda daha tez-tez ...

Səbəbləri Bronxospazmın səbəbləri arasında aşağıdakılar daxildir: Astma: Bronxların xroniki il ...

Səbəbləri Akut Bronxit: Viral infeksiyalar (ən çox rast gəlinən səbəb) Bakteriyal infeksiya ...

Səbəbləri və Tetikleyiciler Astmanın dəqiq səbəbi məlum deyil, lakin genetik amillər, ətraf mühit ...

Səbəblər: Siqaret Çəkmək: XOX-un ən yaygın səbəbi siqaret tüstüsünə məruz qalmışdır. Hava Çirk ...

Səbəblər: Uzun müddət hərəkətsiz qalmaq (məsələn, uzun müddətli uçuşlar və ya yataq istirahəti) ...

Pnevmoniyanın Səbəbləri: Bakteriyal Pnevmoniya: Ən çox rastlanılan səbəb Streptococcus pneumoniae ...

Ağciyər Xərçənginin Növləri: Kiçik Hüceyrəli Ağciyər Xərçəngi (KHX): Daha agressiv və sürətli yay ...

Səbəblər: Ağ ciyər ödemi bir çox fərqli faktor tərəfindən səbəblənə bilər, o cümlədən: Yüksək ...

Nəfəs darlığı Göğüsdə sıxılma hissi Xırıltılı nəfəs alma Öskürək, xüsusilə gecələri və ya f ...