
Ağciyər və tənəffüs xəstəliklərinin diaqnozu
Tibbi Anamnez və Fiziki Müayinə: Həkim, simptomlar, tibbi tarixçə və ailə sağlamlığı tarixçəsi barəd ...

Tibbi Anamnez və Fiziki Müayinə: Həkim, simptomlar, tibbi tarixçə və ailə sağlamlığı tarixçəsi barəd ...

Ətraflı Tibbi Anamnez: Həkim, xəstənin öskürək şikayətlərini, öskürəyin xarakterini (quru və ya balğ ...

Səbəbləri İnfeksion-allergik miokarditin səbəbləri arasında aşağıdakılar ola bilər: Viruslar: ...

Səbəbləri Astmatik statusun müxtəlif səbəbləri ola bilər, o cümlədən: Astma üçün nəzərdə tutul ...

Disfoni: Disfoni, səsin qarışıqlığı və ya təhrif edilməsi ilə xarakterizə olunan bir səs pozğunluğud ...

Sinüzit (Sinüzit): Sinüzit, burun sinüzitlərinin inflamasiyasıdır. Sinüzitə səbəb olan əsas məsələlə ...

Astma səbəbləri Astmanın dəqiq səbəbi bilinməsə də, genetik faktorlar, ətraf mühitin tetikleyicil ...

Bronxial Astma: Səbəblər: Bronxial astma genelliklə alərjenlər, küləklər, soyuq hava, və ya fi ...

Plevritin səbəbləri arasında aşağıdakılar yer ala bilər: Viral və Bakterial İnfeksiyalar: Viru ...

Qızdırma və yüksək qızdırma Öskürək və ya balqama Nefes darlığı və səs dəyişiklikləri Qusma və ...

Bronxitin Səbəbləri və Növləri Akut Bronxit: Üstün yol infeksiyalarının, xüsusilə virusların n ...

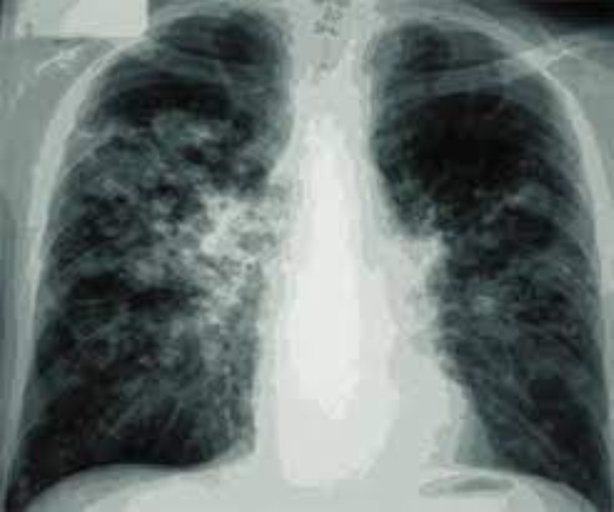
Vərəmin Səbəbləri və Yoluxma Yolları Yoluxma Yolu: Vərəm, yoluxmuş bir şəxsdən başqasına, öskü ...

Pnevmoniyanın Səbəbləri və Risk Faktorları Mikroorqanizmlər: Bakteriyalar (məsələn, Streptococ ...

Kəskin Bronxitin Səbəbləri Viruslar: Ən yaygın səbəb üst tənəffüs yolu infeksiyalarına səbəb o ...

KOAH-ın Səbəbləri və Risk Faktorları Siqaret Çəkmək: Ən yaygın səbəb siqaret tüstüsünə məruz q ...

Astmanın Səbəbləri və Təkan Verən Amillər Genetik Faktorlar: Ailədə astma və ya digər allergik ...

Plevritin Səbəbləri Plevritin müxtəlif səbəbləri ola bilər: İnfeksiyalar: Bakterial və ya v ...

Prosesin Gedişi Sinə ultrasəs müayinəsi zamanı, xəstə adətən arxaya uzanır və ya oturur. Ultrason ...

Prosedurun Məqsədi və İstifadəsi Floroskopiyada istifadə olunan rentgen şüaları, sinə qafəsinin i ...

Bronxopulmoner Sistem Üzərində Təsiri: Kistik fibroz, solunum yollarında qatı, yapışqan balğamın yığ ...

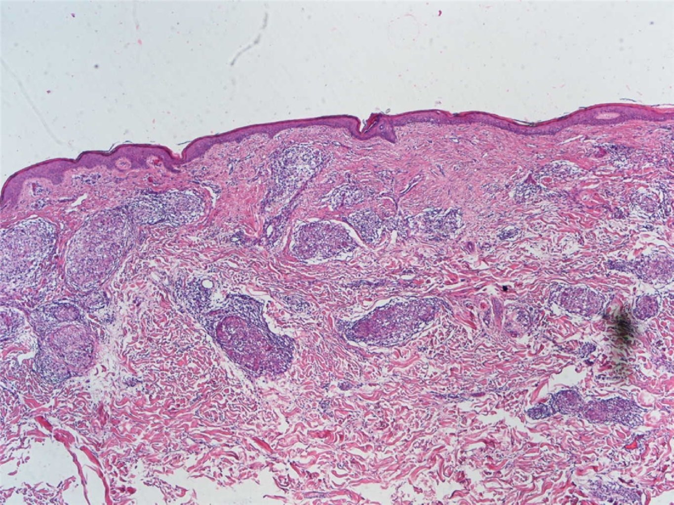
Qranulomaların Əmələ Gəlməsi: Sarkoidoz, bədəndə mikroskopik qranulomaların əmələ gəlməsi ilə xarakt ...

Bulaşma Yolu: Ornitoz, əsasən quşların dışkıları, salyası və tükləri vasitəsilə yayılan damlacıqları ...

Alveolların zədələnməsi: Ağciyərlərdəki alveollar normal olaraq hava ilə doldurulur və boşalır, oksi ...

Mexaniki Təsir: Artıq bədən çəkisi, xüsusilə qarın bölgəsindəki piy, diaframmanın hərəkətini məhdudl ...

Amyotrofik Lateral Skleroz (ALS): Bu, motor neyronları (hərəkət sinirləri) zədələyən və əzələ zəifli ...

Ağciyər Absesi: Bu, ağciyər toxumasında yaranan irinli bir cavab olup, adətən bakterial infeksiya nə ...

Birincil Pnevmotoraks: Bu, əsasən sağlam ağciyərlərdə baş verən pnevmotoraks növüdür. Adətən, ağciyə ...

Ağciyər emboliyasının əsas simptomları aşağıdakılardır: Nəfəs Darlığı: Bu, ən yaygın simptomla ...

Prosesin Amacı Ağciyər ponksiyonunun birkaç temel amacı vardır: Təşhis: Plevral efüzyonun ( ...

Səbəbləri Pleurit bir çox fərqli səbəblərdən yarana bilər: İnfeksiyalar: Bakterial (məsələn ...