
GÖZ ESTETİKASI (OKULOPLASTİKA)
Okuloplastika aşağıdakı səbəblərə görə həyata keçirilə bilər: Göz Qapağı Estetiği: Göz qapaqla ...

Okuloplastika aşağıdakı səbəblərə görə həyata keçirilə bilər: Göz Qapağı Estetiği: Göz qapaqla ...

Qaranlıq gözlər tez-tez aşağıdakı amillərlə əlaqələndirilir: Gözün refraktiv xətaları: Ambliyo ...

Strabismusun növləri: İçə doğru çəpgözlük (ezotropiya): İçə doğru yönəldilmiş göz digər gözə n ...

Daimi Göz Müayinələri: Çocuğunuzun düzenli göz muayenelerine gitmesi önemlidir. İlk göz muayenesi be ...

Qlaukoma növləri: Açıq bucaqlı qlaukoma: Bu qlaukoma ən çox yayılmış növüdür və göz içi mayes ...

Yaxın görmə problemlərinin ən çox görülən səbəbi yaşla birlikdə inkişaf edən presbiopiya kimi tanına ...

Lazer Cərrahiyyəsi: Lazer cərrahiyyəsi gözün refraktiv qüsurlarını (miopiya, hipermetropiya, asti ...

Kataraktanın simptomları Kataraktın simptomları insandan insana dəyişə bilər, lakin ümumi simptom ...

Ümumi Göz Müayinəsinin Əhəmiyyəti Ümumi göz müayinələri oftalmoloqlar və ya optometristlər tərəf ...

Çapıqların növləri: Çapıqlar müxtəlif forma, rəng və ölçüdə ola bilər. Burada ümumi çapıq növləri ...

Mekkel divertikulumu adətən uşaqlıqda (xüsusilə 2 yaşa qədər) ağrısız qanlı yaralara səbəb ola bilər ...

1. Təmizləyici məhsullar və kimyəvi maddələr: Məişət təmizliyi məhsulları, yuyucu vasitələr, a ...

Tez-tez qusma: Körpə qidalandıqdan sonra tez-tez və çox miqdarda qusa bilər. Qusma adətən yeməkdən d ...

1. Xarici cisimlərin simptomları: Boğaz ağrısı. Öskürək. Nəfəs darlığı. Qarın bölgəsində ...

1. Xarici cisimlərin simptomları: Burun tıkanıklığı və ya axan burun. Burun qıcıqlanması və ...

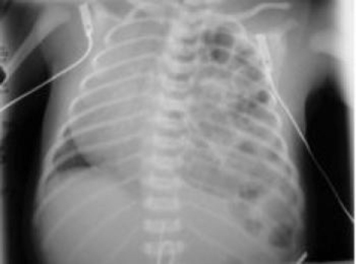
Diafraqma yırtığı (Anadangəlmə Diafraqma yırtığı - ADH): Bu, diafraqma adlanan əzələ bölməsinin norm ...

Səbəblər: ADY-nin dəqiq səbəbi bilinməsə də, körpələrin doğuş zamanı qarın boşluğundan döş qəfəsinə ...

Ənənəvi olaraq: Ənənəvi olaraq, sünnət uşaqlarda, adətən körpəlikdən 7 yaşa qədər aparılır. Sü ...

1. Hipospadias: Hipospadias, penisin uretra açılışının normaldan daha aşağı vəziyyətdə yerləşdiyi ...

Vakuum və ya Maşa ilə Doğuş Yaralanmaları: Bəzi hallarda doğum prosesini asanlaşdırmaq və ya sürətlə ...

Diafraqma yırtığı: Diafraqma yırtığı qarın orqanlarının diafraqma adlanan əzələ bölməsindəki bir ...

Uşaqlarda estrus apandisitin simptomları, səbəbləri və müalicəsi haqqında ətraflı məlumat: Simpto ...

Labial Synexia nədir? Dodaq sineksiyası adətən kiçik dodaqlar adlanan kiçik dodaqların cinsiyyət ...

Kriptorxizm nədir? Kriptorxizm, uşağın xayalarından birinin və ya hər ikisinin normal vəziyyətinə ...

Həzm problemləri: Həzm sistemi problemləri uşaqlarda qarın ağrısına səbəb ola bilər. Bu problemlərə ...

1. Pectus Excavatum (Sinə çökməsi): Pectus excavatum döş sümüyünün içəriyə çökməsi nəticəsində me ...

Qasıq Yırtığı Diaqnostikası Əgər uşağınızda qasıq yırtığı əlamətləri varsa və ya ondan şübhələni ...

Simptomlar: Qızlarda yumurtalıqların fırlanmasının simptomları aşağıdakıları əhatə edə bilər: ...

Uşaqlarda süd vəzi xəstəlikləri: Süd vəzilərinin inkişafı və infeksiyaları 1. Süd vəzi şişməs ...

Simptomlar: Oğlanlarda testis burulmasının simptomları aşağıdakıları əhatə edə bilər: Şiddətli xa ...