
Sakral sinirin stimullaşdırılması
Sakral Sinirin Stimullaşdırılmasının Üstünlükləri Sidik Tutmama Problemlərinin İdarə Edilməsi: SN ...

Sakral Sinirin Stimullaşdırılmasının Üstünlükləri Sidik Tutmama Problemlərinin İdarə Edilməsi: SN ...

Onurğa şişi cərrahiyyəsinin növləri Onurğa şişlərinin cərrahi müalicəsi şişin növündən, ölçüsündən, ...

ACDF Cərrahiyyəsinin Addımları Giriş əldə etmək: Cərrah xəstənin boynunun ön hissəsində bir kəsik ed ...

Onurğa sınıqlarının növləri Sadə sınıqlar: Onurğanın bütövlüyünü pozan, lakin onurğanın sabitliyinə ...

Servikal stenozun cərrahi müalicə üsulları Servikal laminektomiya: Bu prosedur onurğa kanalını geniş ...

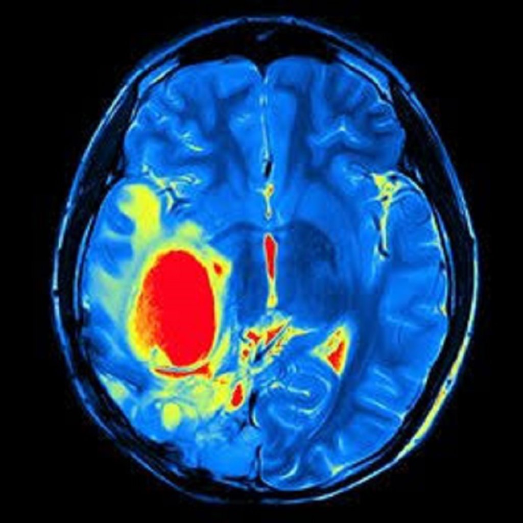
Supratentorial şişin çıxarılmasının ümumi addımları Əməliyyatdan əvvəl hazırlıq və planlaşdırma: Əmə ...

VP Şuntının strukturu və funksiyası VP şunt sistemi ümumiyyətlə üç əsas komponentdən ibarətdir: Kate ...

Periferik Sinir Cərrahiyyəsinin Ümumi Növləri Sinir Təmiri və Yenidənqurma: Kəsilmiş və ya zədələnmi ...

DBS Cərrahiyyəsinin addımları Əməliyyatdan əvvəl qiymətləndirmə: Xəstələr əməliyyatdan əvvəl hərtərə ...

1. Kraniotomiya Bu, beyinə daxil olmaq üçün kəllə sümüyündə bir açılış yaratmaq üçün cərrahi prosedu ...

Uşaqlıq boynu diskinin yırtılması əməliyyatları (servikal disk yırtığı) Boyun nahiyəsində disk yırtı ...

Səbəbləri Doğuşdan Olan Anomalilər: Beyin və ya omurilikdə doğuşdan olan problemlər. Beyin Z ...

Səbəbləri Kraniosinostoz: Kəllə sümüklərinin erkən birləşməsi. Doğuşdan Olan Şəkillənmə Prob ...

Səbəbləri Genetik Faktorlar: Bəzi genetik xəstəliklər beyin şişlərinin riskini artıra bilər. ...

Səbəbləri Spinal tümorların dəqiq səbəbləri çox vaxt bilinmir, lakin aşağıdakı amillər riski artı ...

Səbəbləri Fiziki Zədələr: Qəflətən yüksək təzyiq və ya travmalar. Yanlış Hərəkətlər: Ağır əş ...

Səbəbləri Genetik Faktorlar: Bəzi AVM halları genetik olaraq meydana gəlir. Doğuşdan Gələn A ...

Səbəbləri Serebral qanaxmanın müxtəlif səbəbləri ola bilər: Yüksək Qan Təzyiqi (Hipertansiy ...

Səbəblər: Aorta anevrizması aortanın divarlarının zədələnməsi və ya zədələnmiş damarın aortaya çəkil ...

Səbəblər: Koronar angioplastika aşağıdakı hallarda tətbiq olunur: Koronar arteriya xəstəliyi: Kor ...

Gərgin Onurğa Beyin Sindromu: Gərgin onurğa beyin sindromu, sütunun normal inkişaf etməməsi və qan d ...

Onurğa sütununun ümumi iltihabi xəstəlikləri: Ankilozan spondilit (AS): AS onurğa və çanaq bölgə ...

Səbəblər: Onurğa zədələri: Onurğa nahiyəsinə təsirlər, təsadüfən travma və ya düşmələr onurğa na ...

Səbəblər: Onurğa sütunu travmasının ən çox görülən səbəbləri arasında yol qəzaları, yıxılmalar, i ...

Disk yırtıqları (disk yırtıqları): Disk yırtığı onurğa disklərinin xarici təbəqəsinin qopması və içi ...

Şişin çıxarılması: Beyin şişlərinin müalicəsi üçün cərrahiyyə çox vaxt şişin çıxarılmasını əhatə ...

Bel burkulması adətən bel ağrısı, ayaqlarda uyuşma və ya zəiflik, hərəkət zamanı narahatlıq hissi il ...

Şişin çıxarılması: Beyin şişlərinin müalicəsi üçün cərrahiyyə çox vaxt şişin çıxarılmasını əhatə ...

Səbəblər və Risk Faktorları: Beyin anevrizmalarının səbəbləri tam olaraq bilinməsə də, genetik fa ...

Koronar Arteriya Xəstəliyinin Səbəbləri və Simptomları Koronar arteriya xəstəliyi adətən ateroskl ...