
Diş və Çənə Kistləri/Şişləri
2. Kistlərin və Şişlərin Növləri Kistlərin əsas növləri: Radikulyar kist (Periapikal kist): Ən ...

2. Kistlərin və Şişlərin Növləri Kistlərin əsas növləri: Radikulyar kist (Periapikal kist): Ən ...

🦷 Diş Çürüməsinin Meydana Gəlməsi (4 Şərt) Bakteriyalar – Ağızda yaşayan Streptococcus mutans k ...

Porselen tac nədir? Porselen taclar dişin xarici hissəsini tamamilə əhatə edən süni qapaqlardır. ...

Diş implantının strukturu: Diş implantı üç əsas komponentdən ibarətdir: İmplant vida (implant ...

Gecə plağının əsas funksiyaları: Diş qıcırdatmanın (bruksizm) qarşısını almaq: Gecə plağı dişl ...

Diş dolgusu nə üçün istifadə olunur? Diş dolgusu adətən diş çürüməsi səbəbilə yaranan boşluqları ...

Əsas estetik diş prosedurları: Diş ağartma: Dişlərin rəngini açmaq və daha parlaq görünməsini ...

Diş çəkiminin səbəbləri: Diş çəkimi, bir çox fərqli səbəbə görə tələb oluna bilər: Diş çürüyü: ...

Dişlərin ağardılmasının əsas metodları: Diş həkimi tərəfindən tətbiq olunan professional ağartma: ...

Ağıl Dişlərinin Problemləri: Ağıl dişləri bəzi insanlar üçün problem yaratmasa da, bir çox insand ...

Ağıl Dişlərinin Çıxarılmasının Səbəbləri Yarımçıq Çıxma (İmpaktlaşmış Dişlər): Diş tamamilə çıxma ...

Diş Əti Xəstəliklərinin Növləri 1. Gingivit Nədir?: Diş ətinin səthi iltihabı. Ən yüngül diş ə ...

Kök Kanalının Müalicəsinin Addımları Diaqnoz və Müayinə: Diş həkimi, dişin vəziyyətini və infe ...

Qidalanma və İçki İstifadəsi: Kofe, çay, qırmızı şərab və dəniz məhsulları kimi pigmentli və ya müla ...

Stressi Azaldır: Gülüş, stress hormonlarının səviyyəsini azaldır və rahatlama hissi yaradır. Bu, str ...

Doğal Diş Hissi: İmplantlar, təbii dişlərə ən yaxın hissi və görünüşü təmin edir və onlarla əyni fun ...

Plomba və Onlay/İnlaylər: Çürük və ya zədələnmiş dişlərin bərpası üçün kompozit materiallar və ya po ...

Estetik Görünüş: Zirkon, yüksək estetik gözləntiləri olan xəstələr üçün mükəmməl bir seçimdir çünki ...

Bakteriyalar: Ağızdakı bakteriyalar, xüsusilə Streptococcus mutans və Lactobacillus, şəkər və karboh ...

Estetik Plombların Əsas Xüsusiyyətləri: Kompozit Rezin: Kompozit rezin materialları, geniş rəng s ...

İşıqlı Kompozit Plombların Əsas Növləri: Mikrofil Kompozitlər: Yüksək estetik tələblər olan ön di ...

Sinus Lifting Əməliyyatının Əsas Mərhələləri: Anesteziya: Prosedur, adətən yerli anesteziya altın ...

Diş Cəkimi Proseduru: Anesteziya: Diş cəkimi, adətən, lokal anesteziya altında həyata keçirilir, ...

Kök Kanal Müalicəsinin Əsas Mərhələləri: Diaqnostika və Anesteziya: Əvvəlcə diş həkimi, lazımi di ...

Gingivitisin Müalicəsi: Ağız Gigiyenasının Artırılması: Gündə iki dəfə diş fırçalamaq və hər g ...

Dişlərin boşalmasının bir neçə səbəbi ola bilər: Əskik Diş: Dişlərin anadangəlmə olmaması, zədə, ...

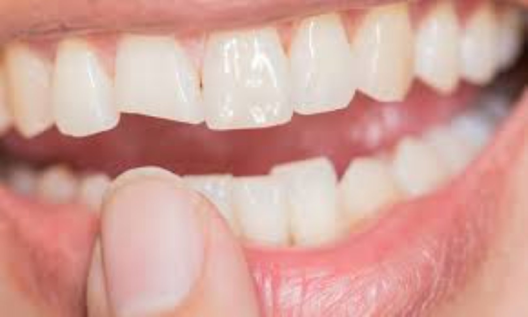
Diş Qırıqları: Diş qırıqları, dişin bir hissəsinin çatlamaq, kırılmaq və ya qısməq nəticəsində meyda ...

Əsas Simptomlar: TMJ xəstəliyinin əsas simptomları ağrı və dislokasiya (eklem sərpintisi) hissidir. ...

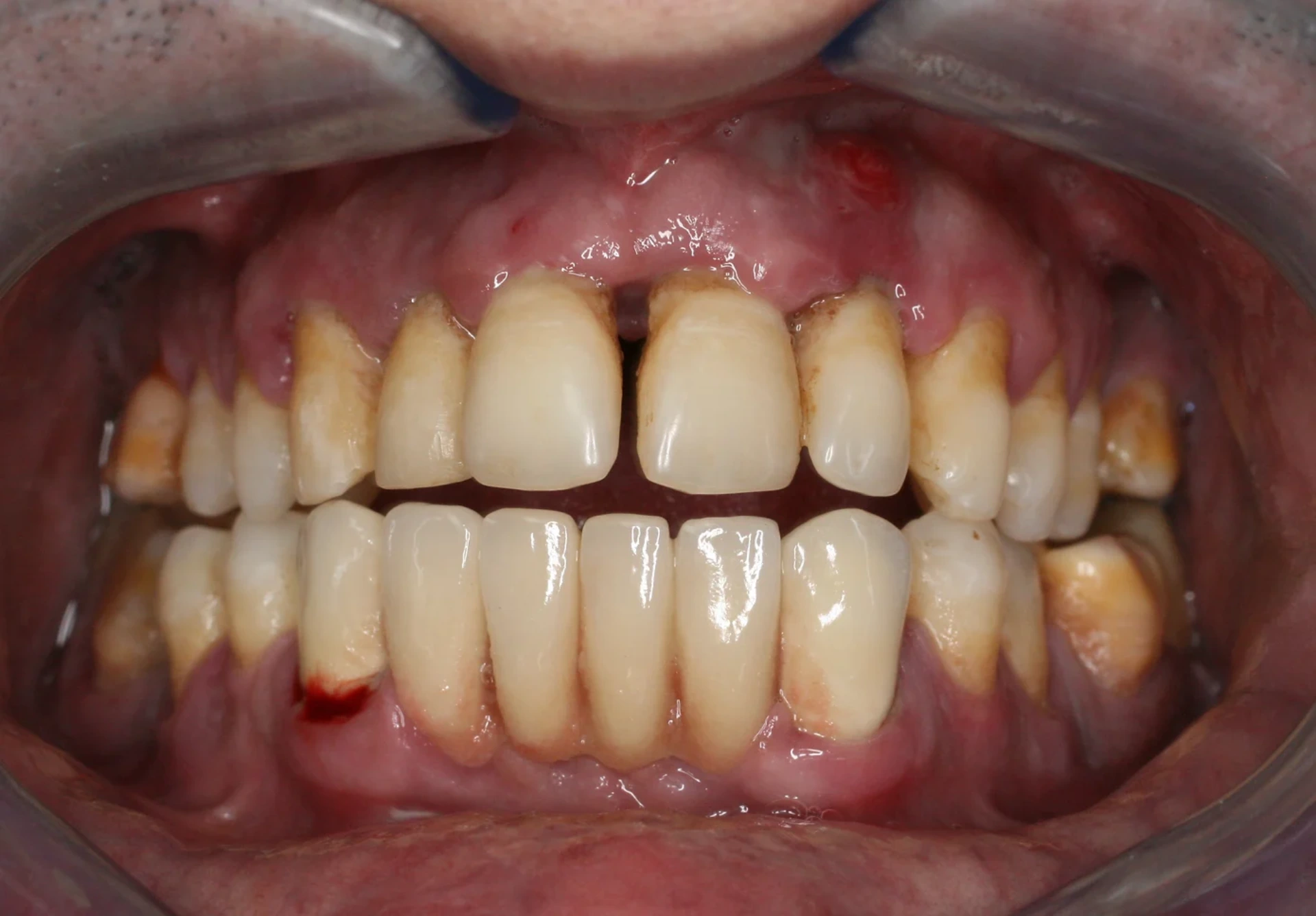
Ağız əti xərçənginin əsas simptomları aşağıdakılar olacaq: Ağızda Yara Və Ülserlər: Ağız əti x ...

Diş İtkisi (Diş Sürüşü): Diş itkisi, uşaqların ilk dişlərinin diş ətiri üzərindən diş yüzeyinə çıxma ...