
Diş çatlamaları və kırıqları
Diş Çatlamaları (Diş Rənglərinin Xərclənməsi): Diş çatlamaları, dişlərin sərtləşmiş mine tabakasının ...

Diş Çatlamaları (Diş Rənglərinin Xərclənməsi): Diş çatlamaları, dişlərin sərtləşmiş mine tabakasının ...

Aftlar (Stomatit): Aftlar ağızın içində yaranan ağrılı yara və lezyonlardır. Bu lezyonlar genəlliklə ...

Diş törəmələri (Dentisiya): Dişlər normal olaraq törəməli proseslərlə sürüşür. Uşaqlıqda diş törəməs ...

Diş Əti İltihabının Yaranma Mekanizması Diş əti iltihablarının əsas mekanizması, ağızdakı bakteri ...

Periodontitin Yaranma Mekanizması Periodontitin əsas mekanizması, ağızdakı bakteriyel plakların v ...

Karyesin Yaranma Mekanizması Karyesin temel mekanizması, ağız içindəki bakteriyel plakların (biof ...

Səbəbləri: Stress və Anksiyetə: Stress və anksiyetə, diş sıxmanın ən yayğın səbəblərindən biri ...

Ağrı problemləri, ağız və diş sağlamlığı ilə bağlı ən yayğın şikayətlərdən biridir. Ağız və diş ağrı ...

Dişlərin Ağardılmasının Metodları Ofis Ağardılma: Stomatoloqun kabinetində həyata keçirilir. S ...

Kök Kanalı Müalicəsinin Prosesi Kök kanalı müalicəsi prosesi bir neçə mərhələdən ibarət olur: ...

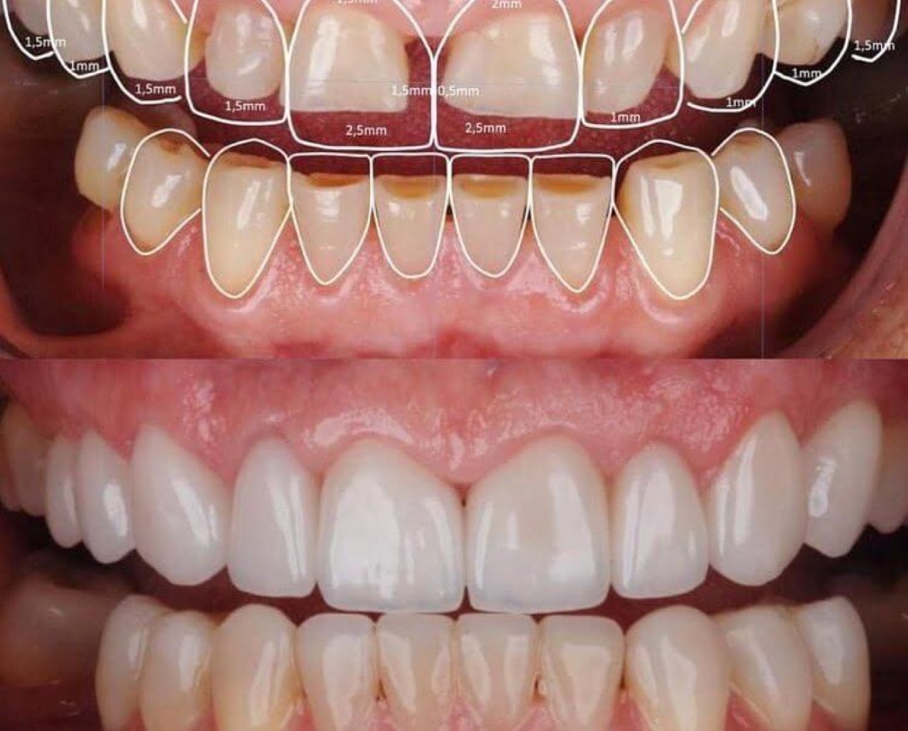
Gülüş Dizaynının Elementləri Diş Rəngi: Ağardılma prosedurları ilə daha ağ və parlaq bir gülüş ...

Çıxarılma Prosesi İlkin Qiymətləndirmə: Stomatoloq və ya cərrah, xəstənin ağız və diş sağlamlı ...

Ortodontik Tel Müalicəsinin Mərhələləri İlkin Qiymətləndirmə: Ortodontist, xəstənin diş və çən ...

Estetik Stomatoloji Prosedurlar Diş Ağardılması: Dişlərin rəngini açmaq üçün istifadə olunan p ...

İmplant Müalicəsinin Mərhələləri İlkin Qiymətləndirmə və Planlaşdırma: Stomatoloq, xəstənin ağ ...

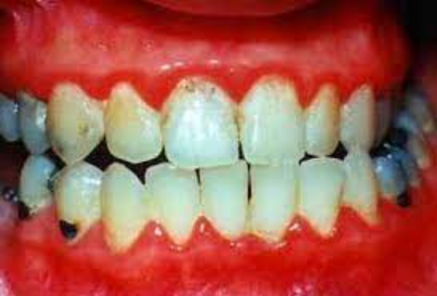
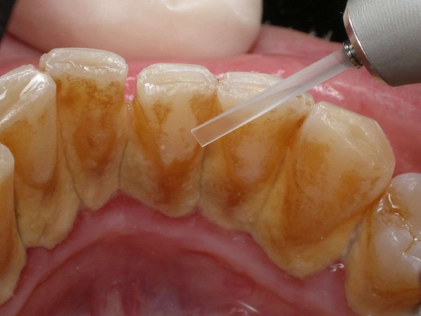
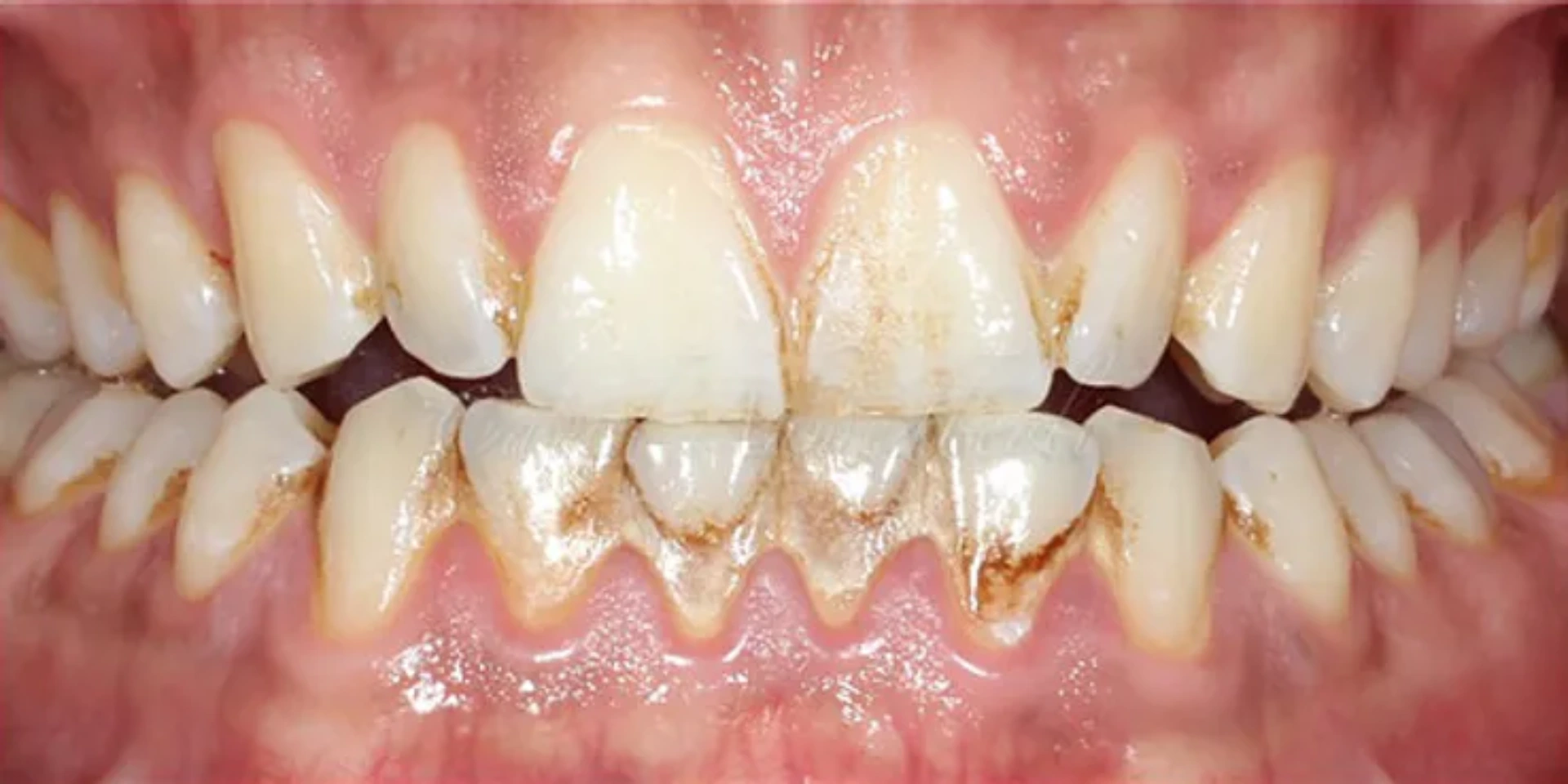
Diş Daşlarının Əmələ Gəlməsi Plakın Mineralizə Olması: Diş daşları, ağızda uzun müddət qalan p ...

Səbəblər Oral Higiyananın Yetersizliyi: Düzgün diş fırçalama və diş ipi istifadəsi olmadan, ye ...

Səbəbləri Plak Yığılması: Bakteriyal plakın diş ətrafında yığılması diş ətlərinin irritasiyası ...

Plak Yığılması və Diş Daşı: Ağızda yığılan plak (bakteriyalarla dolu yapışqan, şəffaf bir qat) və za ...

Diş çürüməsi: Diş minasının zədələnməsi və dişlərə daxil olan bakteriyalar nəticəsində yaranan bir i ...

Ağız Qoxusunun Səbəbləri Yanlış Ağız Baxımı: Düzgün fırçalanmamaq və diş ipi istifadə edilməmə ...

Lezyonlar Lezyonlar, dəri və ya ağız mukozasında müşahidə edilən qeyri-adi dəyişikliklərdir. Bunl ...

TMJ Pozğunluqlarının Səbəbləri Stress və Gərginlik: Stress və gərginlik, çənə əzələlərində gər ...

Ağız Xərçənginin Səbəbləri Tütün və Alkoqol İstifadəsi: Tütün məhsullarının (siqaret, puçaq, ç ...

Diş İtkisinin Səbəbləri Diş Çürükləri (Karies): Dişlərdəki bakterial infeksiyalar nəticəsində ...

Diş Həssaslığının Səbəbləri Diş Minasının Aşınması: Çox sərt fırçalama, asidli qidaların həddi ...

Diş Əti Xəstəliklərinin Növləri Gingivit: Diş əti xəstəliklərinin ən yüngül formasıdır. Əsas s ...

Çürüyün Səbəbləri Bakteriyalar: Ağız mikroflorasında olan bəzi bakteriyalar, şəkərli və nişast ...