
Osteoparoz
Osteoporozun Səbəbləri Hormonal Dəyişikliklər: Menopoz: Estrogen səviyyəsinin azalması sümük i ...

Osteoporozun Səbəbləri Hormonal Dəyişikliklər: Menopoz: Estrogen səviyyəsinin azalması sümük i ...

Vertebra Sınıqlarının Səbəbləri Travma: Yüksək Enerjili Travmalar: Avtomobil qəzaları, düşmələ ...

Osteomielitin Əlamətləri Ağrı: Sümükdə və ya təsirlənmiş sahədə şiddətli və davamlı ağrı. Şişl ...

Sümük Deformasiyalarının Növləri Konjenital Deformasiyalar: Klippel-Feil Sindromu: Boyunda qıs ...

Diz Ağrılarının Səbəbləri Travma və Zədələnmələr: Sınıqlar: Diz sümüklərinin qırılması. Bur ...

Boyun Yırtığının Əlamətləri Ağrı: Boyun, çiyin və qollarda kəskin və ya yanıcı ağrı. Uyuşma və ...

Çiyin Zədələnmələri Çiyin Dislokasiyası (Çıxıq) Təsviri: Çiyin oynağı sümüklərin bir-birindən ...

Sınıqlar: Uşaqlarda ən çox rast gəlinən travma növü sınıqlardır. Ən çox qol və ayaq sümüklərində ...

Səbəblər Boyun yırtığının səbəbləri adətən aşağıdakı amillərlə əlaqələndirilir: Yaşlanma: Disklərin ...

Səbəblər Belin düzləşməsinin səbəbləri müxtəlif ola bilər və adətən aşağıdakı amillərlə əlaqələndiri ...

Osteoporozun Səbəbləri Yaşlanma: Yaş artdıqca sümük kütləsi azalmağa başlayır. Hormonal dəyişi ...

Simptomlar: Sarkoidozun simptomları xəstəliyin hansı orqanlara təsir etdiyinə görə dəyişir. Bəzi ins ...

Hallux valgus genetik meyl, ayaq quruluşunda anormallıqlar, ayaqqabı seçimi və ayağa həddindən artıq ...

Disk yırtığı və ya bel yırtığı: Disklərin xarici təbəqəsinin qopması nəticəsində içəriyə sızan nüvə ...

Birgə Bərpa və Yenidənqurma: Travma və ya aşınma kimi səbəblərdən oynaqların zədələnməsi baş verə bi ...

Konservativ müalicə: Dərman müalicəsi: Qeyri-steroid antiinflamatuar dərmanlar (NSAİİ) ağrıları azal ...

Düzdabanlığın Səbəbləri Düzdabanlığın yaranmasına səbəb ola biləcək bir neçə amil var: Genetik ...

Çiyin Çıxığının İlkin Müalicəsi Ağrının və Şişkinliyin Azaldılması: İlk müalicə olaraq, ağrı və ş ...

Səbəbləri Revmatik qızdırmanın əsas səbəbi, boğazda qrup A streptokok bakteriyasının yoluxması nə ...

simptomlar Osteoporozun erkən mərhələlərində adətən heç bir aşkar simptomlar olmur. Ancaq xəstəl ...

simptomlar Dermatomiyozit və polimiyozitin ümumi simptomlarına aşağıdakılar daxildir: Əzələ zəifl ...

Səbəbləri Hallux valgusun əsas səbəbləri arasında: Genetik faktorlar: Ailə tarixçəsində bu vəz ...

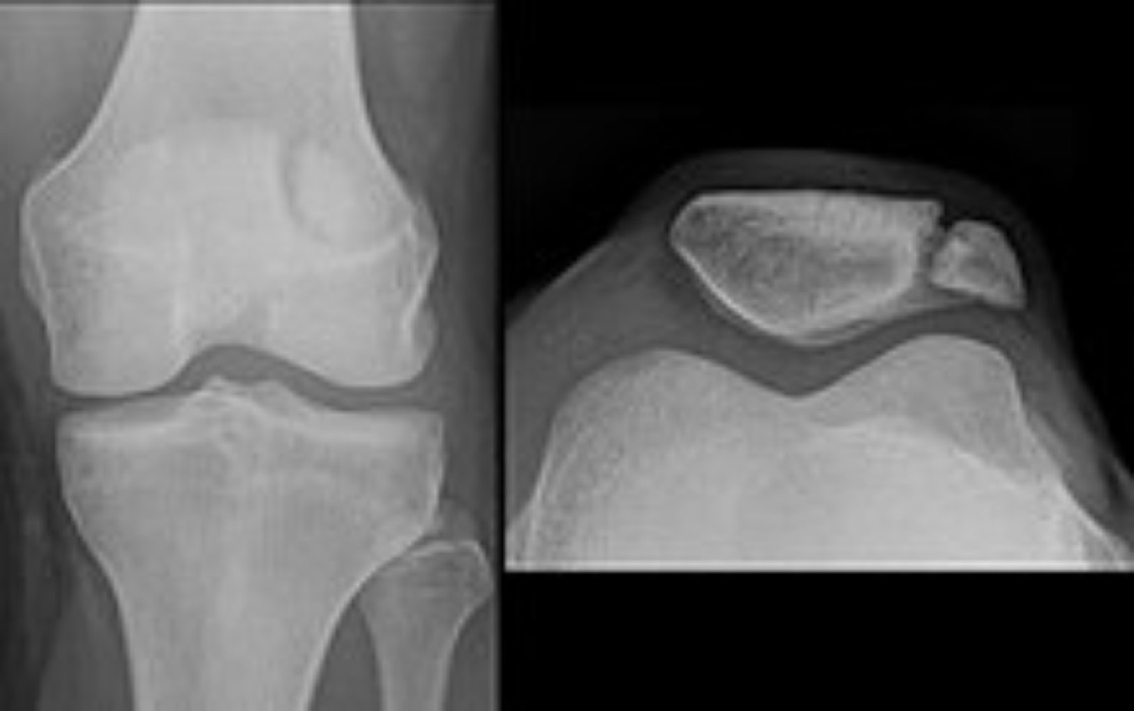
Səbəbləri Diz qapağının sınıqlarının əsas səbəbləri arasında: Doğrudan zərbə: Diz qapağına doğ ...

Səbəbləri MS-in dəqiq səbəbi məlum deyil, lakin genetik meyllilik, ətraf mühit faktorları, bəzi v ...

Sınıq Növləri Çiyin sümüyünün sınıqları müxtəlif növlərə bölünə bilər, bunlar arasında: Korako ...

Sınıq Növləri Bud sümüyünün sınıqları müxtəlif növlərə ayrıla bilər: Transversal sınıqlar: Süm ...

Yaygın Səbəblər: Məkanik Problemlər: Ən çox rast gəlinən səbəbdir. Bel diskinin aşınması, bel fəq ...

Səbəbləri: Doğuşdan Olan Anomaliyalar: Bəzi uşaqlar ayaq və ya bud uzunluğunda fərqliliklə doğula ...

Səbəbləri: Disk Hernisi: Lomber bölgedəki intervertebral disk materialının çıxması ən yaygın səbə ...

Səbəbləri: Fiziki Travma: Çənəyə yönəlmiş zərbələr, qəzalar. Ağızı Aşırı Açmaq: Geniş əsnəmək, ...