
Allergik rinokonyuktivit
Simptomlar Allergik rinokonyunktivitin tipik simptomlarına aşağıdakılar daxildir: Axan və ya tıka ...

Simptomlar Allergik rinokonyunktivitin tipik simptomlarına aşağıdakılar daxildir: Axan və ya tıka ...

Simptomlar Allergik rinitin simptomlarına adətən aşağıdakılar daxildir: Axan və ya tıkanmış burun ...

Simptomlar Allergik konjonktivitin tipik əlamətləri: Gözlərdə qaşınma və yanma qızartı göz qapaql ...

Simptomlar Allergik faringitin tipik simptomlarına aşağıdakılar daxildir: Boğazda qaşınma və yan ...

Simptomlar Allergik otitin simptomlarına aşağıdakılar daxil ola bilər: Qulaqda dolğunluq və ya t ...

Atopik dermatitin simptomları Atopik dermatitin simptomları aşağıdakıları əhatə edə bilər: güclü ...

Astma müalicəsi və müalicəsi simptomların idarə edilməsinə və astma hücumlarının qarşısının alınması ...

Doğuş zamanı plasentanın ayrılması (plasentanın aşınması): Plasentanın erkən ayrılması yeni doğulmuş ...

Səbəbin müəyyən edilməsi: Təcavüzkar davranış tez-tez problemin əlaməti olaraq baş verir. Uşağın aqr ...

Simptomlar: İshal: Sulu, yumşaq nəcis ümumi bir simptomdur. Qarın ağrısı: Adətən qarın ətrafında və ...

Simptomlar: Zəiflik və Yorğunluq: Bədəndə kifayət qədər oksigen daşıya bilməyən qırmızı qan hüceyrəl ...

Belirtiler: Öksürük: Öksürük en yaygın belirtidir ve bazen balgam da olabilir. Nefes Darlığı: ...

Simptomlar: Boğaz ağrısı: Udulduqda daha da pisləşən boğaz ağrısı. Qızdırma: Bədən istiliyinin ar ...

Uşaqlarda anemiyanın simptomları anemiyanın şiddətindən və altında yatan səbəblərdən asılı olaraq də ...

Alopesiya Areata: Bu tip alopesiya immun sisteminin hüceyrələrinin saç follikullarına hücum etməsi n ...

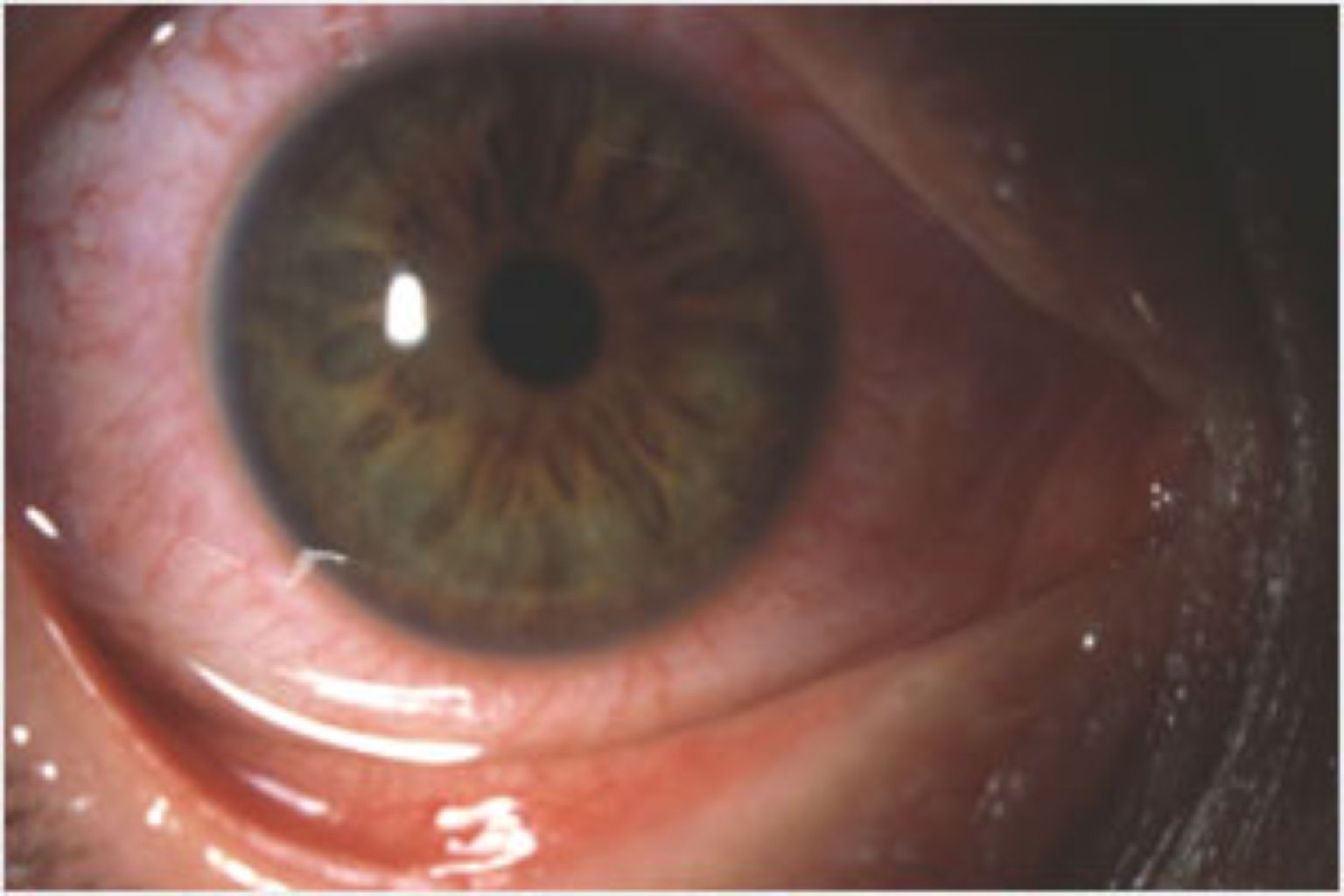
Allergik konjonktivitin simptomları aşağıdakıları əhatə edə bilər: Gözlərdə qızartı və şişkinlik. Qa ...

Adenoid bezləri tez-tez bədənin immunitet sisteminə kömək edən və tənəffüs yoluxucu infeksiyalara qa ...

Kalendula anevrizması nadir bir vəziyyətdir və tez-tez baş ağrısı, nevroloji simptomlar (məsələn, ba ...

Hipospadianın dərəcəsi və şiddəti fərqli ola bilər. Bəzi hallarda sidik yolları penisin ucundan bir ...

Gözlərin inkişaf anomaliyalarına aşağıdakılar daxildir: Qlaukoma: Gözdaxili təzyiqin artması i ...

Daun sindromu tez-tez fiziki xüsusiyyətlərdə, zehni və inkişaf qabiliyyətlərində və sağlamlıq proble ...

Nevroz tez-tez bir insanın həyatında stress və ya travma səbəbindən baş verir. Məsələn, ailə problem ...

Migrenin simptomları və şiddəti insandan insana dəyişə bilər. Bəzi insanlarda aura adlanan əlamətlər ...

İnsult ümumiyyətlə iki əsas növə bölünür: İşemik vuruş: Bu, beyin toxumasına qan axınının tıxa ...

Hamiləlik zamanı epilepsiya ilə bağlı bəzi vacib məqamlar bunlardır: Dərman müalicəsi: Hamiləlik ...

Hemorragik insult işemik insultdan daha az rast gəlinsə də, çox vaxt daha ciddi nəticələrə səbəb ola ...

Hipofiz adenomaları tez-tez hipofiz hormonlarının normal səviyyəsini pozur, bu da bədəndə müxtəlif h ...

Epileptik tutmaların növləri və simptomları çox fərqli ola bilər. Bəzi qıcolmalar yalnız yüngül simp ...

Bazal qanqliyalar beyində mühüm rol oynayan strukturlar toplusudur. Hərəkətin tənzimlənməsi, emosion ...

Vizual aqnoziya: İnsan obyektləri vizual olaraq tanıya bilmir, lakin görmə normaldır. Məsələn, insan ...