
Vərəm (Vərəm) haqqında
Vərəmin Səbəbləri və Yoluxma Yolları Yoluxma Yolu: Vərəm, yoluxmuş bir şəxsdən başqasına, öskü ...

Vərəmin Səbəbləri və Yoluxma Yolları Yoluxma Yolu: Vərəm, yoluxmuş bir şəxsdən başqasına, öskü ...

Pnevmoniyanın Səbəbləri və Risk Faktorları Mikroorqanizmlər: Bakteriyalar (məsələn, Streptococ ...

Kəskin Bronxitin Səbəbləri Viruslar: Ən yaygın səbəb üst tənəffüs yolu infeksiyalarına səbəb o ...

KOAH-ın Səbəbləri və Risk Faktorları Siqaret Çəkmək: Ən yaygın səbəb siqaret tüstüsünə məruz q ...

Allergik Rinitin Səbəbləri Allergik rinitin əsas təkan verən amilləri arasında: Pollen: Ağa ...

Astmanın Səbəbləri və Təkan Verən Amillər Genetik Faktorlar: Ailədə astma və ya digər allergik ...

Plevritin Səbəbləri Plevritin müxtəlif səbəbləri ola bilər: İnfeksiyalar: Bakterial və ya v ...

Prosesin Gedişi Sinə ultrasəs müayinəsi zamanı, xəstə adətən arxaya uzanır və ya oturur. Ultrason ...

Prosedurun Məqsədi və İstifadəsi Floroskopiyada istifadə olunan rentgen şüaları, sinə qafəsinin i ...

Qaraciyər Xəstəlikləri Qaraciyər, bədəndəki toksinlərin təmizlənməsi, qida maddələrinin işlənməsi ...

Xolesterin Xolesterin, hüceyrə quruluşu və hormon istehsalı üçün vacib olan bir lipid növüdür. İk ...

Əsas Tiroid Xəstəlikləri Hipotiroidizm: Tiroid bezinin yetersiz hormon istehsal etməsi. Səbəbl ...

Tip 1 Diabet Tip 1 diabet, əsasən gənclərdə və uşaqlarda rast gəlinir. Bu vəziyyətdə, bədən immun ...

Hipertenziyanın Təsnifatı Birinci Dərəcəli (Esansiyel) Hipertenziya: Ən yaygın növüdür və spes ...

İnfeksion Xəstəliklərin Növləri Virus Xəstəlikləri: Qrip, COVID-19, HIV/AIDS, hepatit və herpe ...

Yuxarı Tənəffüs Yollarının Xəstəlikləri Burun Ətrafı Sinusların İltihabı (Sinüzit): Burun ətra ...

Postravmatik Baş Ağrılarının Xarakteristikaları Başlama Zamanı: Ağrılar, adətən, travmadan dər ...

Simptomlar Kəllədaxili hipotensiyaların ən ümumi simptomları arasında: Ortostatik Baş Ağrıs ...

Səbəbləri və Risk Faktorları Başa Zərbə: Başa doğrudan zərbə alınması, nəticədə beyin toxuması ...

Klaster Baş Ağrısının Xüsusiyyətləri Ağrının Şiddəti və Yeri: Çox şiddətli və yandırıcı təbiət ...

Migrenin Xüsusiyyətləri Ağrı Növü: Adətən başın yarısında hiss olunan, döyən və ya zərbələyən ...

Simptomlar: Prostat xərçəngi başlanğıcda simptom verməyə bilər. Simptomlar arasında tez-tez idrar ...

Lenfoma: Lenfoma, lenf düymləri və lenfositlər adlanan hüceyrələrin malign bir xəstəliyidir. Uşaqlar ...

Badamcıq Xərçəngi (Tonsil Cancer): Badamcıq xərçəngi, badamcıqların mukozal qatılarından başla ...

Alerji: Alerji reaksiyası, alerjenlərin (polen, qida və s.) burun mukozasına daxil olmasına reaksiya ...

Beyin Tumorlarının Əksrəti: Beyin təmaları və beynin ətraf bölgələrində yerləşən təmaların çıxarılma ...

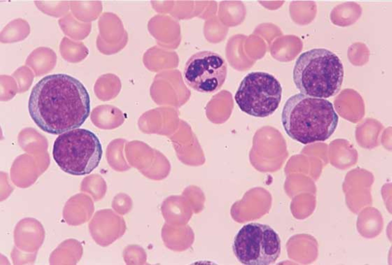
Xroniki Miyeloid Leykemiya ilə əlaqədar başlıca faktlar: Simptomlar: KML-nin simptomları ağırl ...

Polisitemiya Vera (PV): Bu tip polisitemiya, sıradan polisitemiya vera və ya eritrositoz adl ...

Ayaq Əməliyyatı: Ayaq əməliyyatları, hallux valgus (bunion) kimi deformasiyaların, plantar f ...

Kök Hüceyrə Növləri: Əmbrion kök hüceyrələri: Döllənmiş yumurtadan əldə edilir və hər növ hüce ...